相关产品推荐更多 >
万千商家帮你免费找货
0 人在求购买到急需产品
- 详细信息
- 文献和实验
- 技术资料
- 免疫原:
The antiserum was produced against synthesized phosphopeptide derived from human IκB-α around the phosphorylation site of tyrosine 42 (E-E-Yp-E-Q).
- 亚型:
IgG
- 形态:
Liquid
- 保存条件:
Store as concentrated solution. Centrifuge briefly prior to opening vial. For short-term storage (1-2 weeks), store at 4ºC. For long-term storage, aliquot and store at -20ºC or below. Avoid multiple freeze-thaw cycles.
- 克隆性:
Polyclonal
- 标记物:
Unconjugated
- 适应物种:
Human
- 保质期:
12 months from the shipping date of the product.
- 抗原来源:
Human
- 目录编号:
GTX79043
- 级别:
Primary Antibodies
- 库存:
Available
- 供应商:
GeneTex
- 宿主:
Rabbit
- 应用范围:
IHC-P
- 浓度:
Batch dependent (Please refer to the vial label for the specific concentration.)
- 靶点:
IKB alpha (phospho Tyr42)
- 抗体英文名:
IKB alpha (phospho Tyr42) antibody
- 抗体名:
IKB alpha (phospho Tyr42) 抗体
- 规格:
100 μg
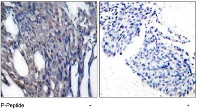
IHC-P analysis of human breast carcinoma tissue using GTX79043 IKB alpha (phospho Tyr42) antibody.
风险提示:丁香通仅作为第三方平台,为商家信息发布提供平台空间。用户咨询产品时请注意保护个人信息及财产安全,合理判断,谨慎选购商品,商家和用户对交易行为负责。对于医疗器械类产品,请先查证核实企业经营资质和医疗器械产品注册证情况。
文献和实验【求助】矛盾的实验结果:IKb alpha和NFKB同时升高
吴佰霖 我的基因过表达,结合文献,推理应该是IKb alpha下降,而NFKB升高 (IKb可磷酸化NFKB,使后者降低) 但现在我的结果是两者同时升高,请问可能的原因有哪些呢? 谢谢 woxingwosu 可否检测一下NFKB的磷酸化情况? erik NFKB是检测核内的吗?检测p65还是p50/ 吴佰霖 检测总蛋白
), a bleeding disorder with thrombocyenia and giant platelets Positive staining (normal): platelets and megakaryocytes CD42b Aka platelet GPIb alpha CD42a-d complex is receptor for von Willebrand factor and thrombin Actual
LABELING ALPHA-ACTININ WITH IATR
with good stirring.The volume (ml)of borate buffer = mg IATR x 9 / (mg/ml)alpha-actinin. 4.Clarify IATR solution at 25,000 rpm,4℃,for 10 min in a 42.2Ti rotor. 5.Mix equal volumes of clarified dye and alpha-actinin in a test tube; remove
技术资料暂无技术资料 索取技术资料





![IL3 Receptor alpha antibody [8E11C5]](https://img1.dxycdn.com/2023/0711/451/6106825198874858761-14.jpg!wh200)

![ATR antibody [N1N2-2], N-term](https://custom.dxycdn.com/trademd/upload/pic/2011/12/20/1324015994.jpg!small.t.1)

