相关产品推荐更多 >
万千商家帮你免费找货
0 人在求购买到急需产品
- 详细信息
- 文献和实验
- 技术资料
- 免疫原:
The antiserum was produced against synthesized phosphopeptide derived from human GSK3β around the phosphorylation site of tyrosine 216 (V-S-Yp-I-C).
- 亚型:
IgG
- 形态:
Liquid
- 保存条件:
Store as concentrated solution. Centrifuge briefly prior to opening vial. For short-term storage (1-2 weeks), store at 4ºC. For long-term storage, aliquot and store at -20ºC or below. Avoid multiple freeze-thaw cycles.
- 克隆性:
Polyclonal
- 标记物:
Unconjugated
- 适应物种:
Human
- 保质期:
12 months from the shipping date of the product.
- 抗原来源:
Human
- 目录编号:
GTX79063
- 级别:
Primary Antibodies
- 库存:
Available
- 供应商:
GeneTex
- 宿主:
Rabbit
- 应用范围:
WB, IHC-P
- 浓度:
Batch dependent (Please refer to the vial label for the specific concentration.)
- 靶点:
GSK3 alpha (phospho Tyr279) + GSK3 beta (phospho Tyr216)
- 抗体英文名:
GSK3 alpha (phospho Tyr279) + GSK3 beta (phospho Tyr216) antibody
- 抗体名:
GSK3 alpha (phospho Tyr279) + GSK3 beta (phospho Tyr216) 抗体
- 规格:
100 μg
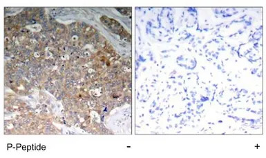
IHC-P analysis of human breast carcinoma tissue using GTX79063 GSK3 beta (phospho Tyr216) antibody.
WB analysis of 293 cells untreated or treated with insulin (40μM, 30min) lysates using GTX79063 GSK3 beta (phospho Tyr216) antibody (Lane 3 and 4) and GSK3 beta antibody (Lane 1 and 2).
风险提示:丁香通仅作为第三方平台,为商家信息发布提供平台空间。用户咨询产品时请注意保护个人信息及财产安全,合理判断,谨慎选购商品,商家和用户对交易行为负责。对于医疗器械类产品,请先查证核实企业经营资质和医疗器械产品注册证情况。
文献和实验Huang JM et al., J Nat Prod 2019 (PMID:31291099)
PMID: 34585785, 2021
) is accompanied with or inactivates the GSK activity. However, it is still not conclusive what the role of Tyr phosphorylation (Y216 fro beta, Y279 for alpha) on GSK activity is. One reference is a review paper published in Cell in 2001, you may take a quick
v468. chapter 4 WNT 细胞通路 检测细胞GSK3活性与表达水平
loop of the kinase domain (Tyr279 in GSK3a, andTyr216 in GSK3b), which is absolutely required for kinase activity. Thirdly, phosphorylation of GSK3 at a conserved N-terminalserine residue inhibits its kinase activity. This phosphoserine actsas
antibody dilution buffer: TBS-T supplemented with2% (w/v) BSA. 6. Antibodies: Phospho-b-catenin Ser33/Ser37/Thr41, phospho-glycogen synthase Ser641, and glycogen synthase (CellSignaling Technologies, Beverly, MA); b-catenin and GSK-3b(BD PharMingen, San
技术资料暂无技术资料 索取技术资料





![Chk1 antibody [6F5]](https://img1.dxycdn.com/2023/0711/451/6106825198874858761-14.jpg!wh200)
![CD1d antibody [N2C3]](https://img1.dxycdn.com/2023/0516/895/8887749495766728561-14.jpg!wh200)



