相关产品推荐更多 >
万千商家帮你免费找货
0 人在求购买到急需产品
- 详细信息
- 文献和实验
- 技术资料
- 免疫原:
KLH conjugated synthetic peptide derived from human CD69.
- 亚型:
IgG
- 形态:
Liquid
- 保存条件:
Store as concentrated solution. Centrifuge briefly prior to opening vial. For short-term storage (1-2 weeks), store at 4ºC. For long-term storage, aliquot and store at -20ºC or below. Avoid multiple freeze-thaw cycles.
- 克隆性:
Polyclonal
- 标记物:
Unconjugated
- 适应物种:
Human, Mouse, Rat, Guinea pig
- 保质期:
12 months from the shipping date of the product.
- 抗原来源:
Human
- 目录编号:
GTX37447
- 级别:
Primary Antibodies
- 库存:
Available
- 供应商:
GeneTex
- 宿主:
Rabbit
- 应用范围:
WB, IHC-P, IHC-Fr
- 浓度:
0.5 mg/ml (Please refer to the vial label for the specific concentration.)
- 靶点:
CD69
- 抗体英文名:
CD69 antibody
- 抗体名:
CD69 抗体
- 规格:
100 μg
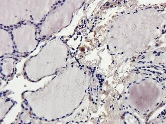
IHC-P analysis of human thyroid cancer tissue using GTX37447 CD69 antibody.
Dilution : 2.5μg/ml
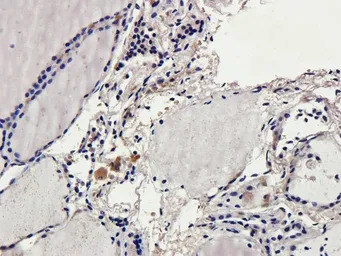
IHC-Fr analysis of human thyroid cancer tissue using GTX37447 CD69 antibody.
Dilution : 2.5μg/ml
IHC-P analysis of guinea pig lymph node tissue using GTX37447 CD69 antibody.
Dilution : 2.5μg/ml
IHC-P analysis of human thyroid cancer tissue using GTX37447 CD69 antibody.
Dilution : 2.5μg/ml
WB analysis of mouse spleen (Lane 1), rat thymus (Lane 2), mouse adipose (Lane 3), mouse lung (Lane 4), human lung cancer (Lane 5), human thyroid cancer (Lane 6) tissue lysates using GTX37447 CD69 antibody.
Dilution : 1μg/ml
风险提示:丁香通仅作为第三方平台,为商家信息发布提供平台空间。用户咨询产品时请注意保护个人信息及财产安全,合理判断,谨慎选购商品,商家和用户对交易行为负责。对于医疗器械类产品,请先查证核实企业经营资质和医疗器械产品注册证情况。
文献和实验Yip HK et al., Oncotarget 2017 (PMID:29312561)
Miyamoto Y et al., Nat Commun 2016 (PMID:27876794)
CD69 分子 CD69 常用单克隆抗体或代号: Leu23;(VEA,AIM) 主要表达细胞: Ta,Ba,Mac,NK,Pt [NK] 分子质量(kDa)和结构: 34,28(同源二聚体,C- lectin SF) 功 能: 活化诱导分子,参与信号转导,Eo凋亡,参与TCRd g 溶细胞功能 CD69 Aka activation inducer molecule (AIM), early activation antigen (EA
Generation of Antibody Molecules Through Antibody Engineering
been overcome to a large extent using genetic-engineering techniques to produce chimeric mouse/human and completely human antibodies. Such an approach is particularly suitable because of the domain structure of the antibody molecule ( 2 ), where functional
The importance of antibody molecules was first recognized in the 1890s, when it was shown that immunity to tetanus and diphtheria was caused by antibodies against the bacterial exotoxins (1 ). Around the same time, it was shown that antisera
技术资料暂无技术资料 索取技术资料





![Influenza A virus Nucleoprotein antibody [HL1098]](https://img1.dxycdn.com/2023/0711/058/8406876405285858761-14.jpg!wh200)
![TTLL12 antibody [7F11]](https://img1.dxycdn.com/2023/0711/451/6106825198874858761-14.jpg!wh200)
![CKLFSF5 antibody [C2C3], C-term](https://img1.dxycdn.com/2023/0711/255/2344116916935858761-14.jpg!wh200)


