相关产品推荐更多 >
万千商家帮你免费找货
0 人在求购买到急需产品
- 详细信息
- 文献和实验
- 技术资料
- 免疫原:
Recombinant protein encompassing a sequence within the center region of human Vitamin D Binding Protein. The exact sequence is proprietary.
- 亚型:
IgG
- 形态:
Liquid
- 保存条件:
Store as concentrated solution. Centrifuge briefly prior to opening vial. For short-term storage (1-2 weeks), store at 4ºC. For long-term storage, aliquot and store at -20ºC or below. Avoid multiple freeze-thaw cycles.
- 克隆性:
Polyclonal
- 标记物:
Unconjugated
- 适应物种:
Human, Mouse
- 保质期:
12 months from the shipping date of the product.
- 抗原来源:
Human
- 目录编号:
GTX109955
- 级别:
Primary Antibodies
- 库存:
Available
- 供应商:
GeneTex
- 宿主:
Rabbit
- 应用范围:
WB, ICC/IF, IHC-P
- 浓度:
1 mg/ml (Please refer to the vial label for the specific concentration.)
- 靶点:
Vitamin D Binding Protein
- 抗体英文名:
Vitamin D Binding Protein antibody
- 抗体名:
Vitamin D Binding Protein 抗体
- 规格:
100 μl/25 μl
| 规格: | 100 μl | 产品价格: | ¥4000.0 |
|---|---|---|---|
| 规格: | 25 μl | 产品价格: | ¥1700.0 |
Sample (30 μg of whole cell lysate)
A: BCL-1
10% SDS PAGE
GTX109955 diluted at 1:1000
The HRP-conjugated anti-rabbit IgG antibody (GTX213110-01) was used to detect the primary antibody.
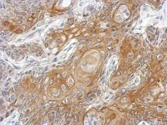
Immunohistochemical analysis of paraffin-embedded Cal27 xenograft, using Vitamin D Binding Protein(GTX109955) antibody at 1:500 dilution.
Antigen Retrieval: Trilogy™ (EDTA based, pH 8.0) buffer, 15min
Vitamin D Binding Protein antibody detects Vitamin D Binding Protein protein at cytoplasm by immunofluorescent analysis.
Sample: HeLa cells were fixed in ice-cold MeOH for 5 min.
Green: Vitamin D Binding Protein protein stained by Vitamin D Binding Protein antibody (GTX109955) diluted at 1:500.
Blue: Hoechst 33342 staining.
Vitamin D Binding Protein antibody detects GC protein by western blot analysis.
A. 30 μg HeLa whole cell lysate/extract
10% SDS-PAGE
Vitamin D Binding Protein antibody (GTX109955) dilution: 1:1000
The HRP-conjugated anti-rabbit IgG antibody (GTX213110-01) was used to detect the primary antibody.
风险提示:丁香通仅作为第三方平台,为商家信息发布提供平台空间。用户咨询产品时请注意保护个人信息及财产安全,合理判断,谨慎选购商品,商家和用户对交易行为负责。对于医疗器械类产品,请先查证核实企业经营资质和医疗器械产品注册证情况。
文献和实验ANTIBODY BINDING TO PROTEIN A AND PROTEIN G
. A physicochemical study f protein G, a molecule with unique immunoglobulin G-binding properties. J. Biol. Chem. 261:10240-10247. Harlow, E. and Lane, D. 1988. Antibodies. A laboratory manual. Cold Spring Harbor Laboratory. Kronvall, G., Seal, U. S
STAINING NONFILAMENTOUS ACTIN WITH VITAMIN-D BINDING PROTEIN
STAINING NONFILAMENTOUS ACTIN WITH VITAMIN-D BINDING PROTEIN Indirect Method Materials 1. Gc-globulin (vitamin-D binding protein; Calbiochem 345802), prepare 2 mg/ml stock in PBS solution A, clarify 25,000 rpm for 20 min in a 42
Steroid hormone receptors activate and repress gene transcription through an integrated series of protein-protein interactions. One principle contact is the interaction of the nuclear receptors with one another to form both homodimeric
技术资料暂无技术资料 索取技术资料





![TNF alpha antibody [HL2361]](https://img1.dxycdn.com/2023/0711/058/8406876405285858761-14.jpg!wh200)
![Bacillus anthracis Lethal Factor antibody [5F502.2]](https://img1.dxycdn.com/2023/0711/451/6106825198874858761-14.jpg!wh200)


![ACOT11 antibody [N1N3]](https://img1.dxycdn.com/2023/0516/045/6925717576889828561-14.jpg!wh200)

