相关产品推荐更多 >
万千商家帮你免费找货
0 人在求购买到急需产品
- 详细信息
- 文献和实验
- 技术资料
- 免疫原:
Recombinant protein encompassing a sequence within the center region of human Factor B. The exact sequence is proprietary.
- 亚型:
IgG
- 形态:
Liquid
- 保存条件:
Store as concentrated solution. Centrifuge briefly prior to opening vial. For short-term storage (1-2 weeks), store at 4ºC. For long-term storage, aliquot and store at -20ºC or below. Avoid multiple freeze-thaw cycles.
- 克隆性:
Polyclonal
- 标记物:
Unconjugated
- 适应物种:
Human, Mouse, Rat
- 保质期:
12 months from the shipping date of the product.
- 抗原来源:
Human
- 目录编号:
GTX103570
- 级别:
Primary Antibodies
- 库存:
Available
- 供应商:
GeneTex
- 宿主:
Rabbit
- 应用范围:
WB, IHC-P
- 浓度:
0.87 mg/ml (Please refer to the vial label for the specific concentration.)
- 靶点:
Factor B
- 抗体英文名:
Factor B antibody [N2C2], Internal
- 抗体名:
Factor B 抗体 [N2C2], Internal
- 规格:
100 μl/25 μl
| 规格: | 100 μl | 产品价格: | ¥4000.0 |
|---|---|---|---|
| 规格: | 25 μl | 产品价格: | ¥1700.0 |
Human plasma (30 μg) was separated by 12% SDS-PAGE, and the membrane was blotted with Factor B antibody [N2C2], Internal (GTX103570) diluted at 1:1000. The HRP-conjugated anti-rabbit IgG antibody (GTX213110-01) was used to detect the primary antibody.
Rat plasma (50 μg) was separated by 12% SDS-PAGE, and the membrane was blotted with Factor B antibody [N2C2], Internal (GTX103570) diluted at 1:1000. The HRP-conjugated anti-rabbit IgG antibody (GTX213110-01) was used to detect the primary antibody.
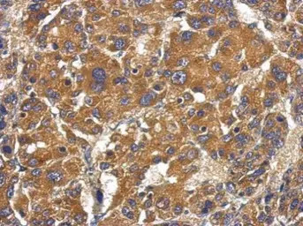
Immunohistochemical analysis of paraffin-embedded human hepatoma, using Factor B(GTX103570) antibody at 1:500 dilution.
Antigen Retrieval: Trilogy™ (EDTA based, pH 8.0) buffer, 15min
风险提示:丁香通仅作为第三方平台,为商家信息发布提供平台空间。用户咨询产品时请注意保护个人信息及财产安全,合理判断,谨慎选购商品,商家和用户对交易行为负责。对于医疗器械类产品,请先查证核实企业经营资质和医疗器械产品注册证情况。
文献和实验Zhu Y et al., Int J Mol Sci 2020 (PMID:32054021)
Yang C.S. et al., Mol Biosyst 2017 (Epub)
Zhu Y et al., Int J Occup Med Environ Health 2021 (PMID:33658723)
Ex Vivo Stromal Cell Electroporation of Factor IX cDNA for Treatment of Hemophilia B
Hemophilia B is an X-linked genetic disorder that typically results from chronic circulating deficiency of blood coagulation factor IX (FIX) (1). While the occurrence of hemophilia B is significantly less frequent than hemophilia A (factor
this method will dilute the antibody by a factor of 2. Using a PD-10 column: a)Wash PD-10 column with 30mL of PBS. b) Add the 1mL FITC-Ig or Biotin Ig solution after the top of column is almost dry. Close stopcock to stop flow after the Antibody
this method will dilute the antibody by a factor of 2. Using a PD-10 column: a)Wash PD-10 column with 30mL of PBS. b) Add the 1mL FITC-Ig or Biotin Ig solution after the top of column is almost dry. Close stopcock to stop flow
技术资料暂无技术资料 索取技术资料







![Cytokeratin 19 antibody [Ks19.1]](https://img1.dxycdn.com/2023/0711/451/6106825198874858761-14.jpg!wh200)

