相关产品推荐更多 >
万千商家帮你免费找货
0 人在求购买到急需产品
- 详细信息
- 文献和实验
- 技术资料
- 免疫原:
The antiserum was produced against synthesized non-phosphopeptide derived from human IkB-epsilon around the phosphorylation site of serine 22 ( I -E-S(p)-L-R).
- 亚型:
IgG
- 形态:
Liquid
- 保存条件:
Store as concentrated solution. Centrifuge briefly prior to opening vial. For short-term storage (1-2 weeks), store at 4ºC. For long-term storage, aliquot and store at -20ºC or below. Avoid multiple freeze-thaw cycles.
- 克隆性:
Polyclonal
- 标记物:
Unconjugated
- 适应物种:
Human
- 保质期:
12 months from the shipping date of the product.
- 抗原来源:
Human
- 目录编号:
GTX37290
- 级别:
Primary Antibodies
- 库存:
Available
- 供应商:
GeneTex
- 宿主:
Rabbit
- 应用范围:
WB, IHC-P
- 浓度:
1 mg/ml (Please refer to the vial label for the specific concentration.)
- 靶点:
IkB-epsilon antibody detects endogenous levels of total IkB-epsilon protein.
- 抗体英文名:
IKB epsilon antibody
- 抗体名:
IKB epsilon 抗体
- 规格:
50 μl
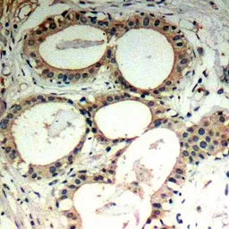
IHC-P analysis of human breast carcinoma tissue using GTX37290 IKB epsilon antibody.
WB analysis of HeLa, 293, and HepG2 cells lysates using GTX37290 IKB epsilon antibody.
风险提示:丁香通仅作为第三方平台,为商家信息发布提供平台空间。用户咨询产品时请注意保护个人信息及财产安全,合理判断,谨慎选购商品,商家和用户对交易行为负责。对于医疗器械类产品,请先查证核实企业经营资质和医疗器械产品注册证情况。
文献和实验glycoproteins assembled as a complex; has long cylasmic tail with antigen recognition activation motif; complex is then down regulated Also subdivided into delta, epsilon, gamma subtypes Cylasmic expression at early T cell differentiation
antiserum specific for the C terminus of epsilon isoform, protease digestion of intact 14-3-3 showed that the N-terminal half of 14-3-3 (a 16 kDa fragment) was an intact, dimeric domain of the protein. Two isoforms of 14-3-3, tau and epsilon, were expressed
Th17 Polarization of Mouse CD4 Cells
实验试剂 Sterile PBS Cell culture medium Sterile plastic petridishes RBC Lysis Buffer [Details: Biolengend, cat.#420301] Anti-mouse CD3ε, clone145-2C11[Details: LEAF™format, cat.#100314]
技术资料暂无技术资料 索取技术资料









