相关产品推荐更多 >
万千商家帮你免费找货
0 人在求购买到急需产品
- 详细信息
- 询价记录
- 文献和实验
- 技术资料
- 免疫原:
The antiserum was produced against synthesized phosphopeptide derived from human p38 MAPK around the phosphorylation site of threonine 180 (E -M-T(p)-G-Y ).
- 亚型:
IgG
- 形态:
Liquid
- 保存条件:
Store as concentrated solution. Centrifuge briefly prior to opening vial. For short-term storage (1-2 weeks), store at 4ºC. For long-term storage, aliquot and store at -20ºC or below. Avoid multiple freeze-thaw cycles.
- 克隆性:
Polyclonal
- 标记物:
Unconjugated
- 适应物种:
Human
- 保质期:
12 months from the shipping date of the product.
- 抗原来源:
Human
- 目录编号:
GTX38595
- 级别:
Primary Antibodies
- 库存:
Available
- 供应商:
GeneTex
- 宿主:
Rabbit
- 应用范围:
WB, IHC-P
- 浓度:
1 mg/ml (Please refer to the vial label for the specific concentration.)
- 靶点:
p38 MAPK (phospho-Thr180) antibody detects endogenous levels of p38 MAPK only when phosphorylated at threonine 180.
- 抗体英文名:
p38 MAPK (phospho Thr180) antibody
- 抗体名:
p38 MAPK (phospho Thr180) 抗体
- 规格:
50 μl
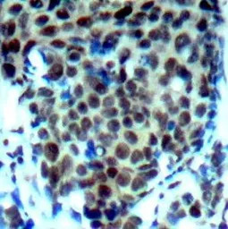
IHC-P analysis of human breast carcinoma tissue using GTX38595 p38 MAPK (phospho Thr180) antibody.
WB analysis of HT-29 cell lysate using GTX38595 p38 MAPK (phospho Thr180) antibody.
风险提示:丁香通仅作为第三方平台,为商家信息发布提供平台空间。用户咨询产品时请注意保护个人信息及财产安全,合理判断,谨慎选购商品,商家和用户对交易行为负责。对于医疗器械类产品,请先查证核实企业经营资质和医疗器械产品注册证情况。
- 作者
- 内容
- 询问日期
文献和实验kinase is KIR 3.1 and have developed a phospho-selective antibody against the Y12 motif of this channel. Much like KOR and p38 MAP kinase, phosphorylation of this potassium channel increases following repeated stress. The following chapter discusses
【求助】请问如何检测RAS、MAPK、p38、p21 ?参与者:liqunfeng请问如何检测RAS、MAPK、p38、p21??谁帮帮我啊参与者:xiaolx你在网上搜搜别人的实验中怎么检测的,不就知道了。p38,我师姐做过免疫组化。参与者:zhangyuelin1999检测信号通路现在用的比较多的方法应该是Western blot,它是测细胞中的蛋白含量(半定量)的最好方法了,免疫组化检测是定性的!如果时间充裕的话,你可以两种方法都可以做的。RAS:Ras蛋白是细胞内的一种小分子GTP结合
运用Cell Based Elisa检测信号通路蛋白和磷酸化蛋白
results of phosphorylated proteins磷酸化的试剂盒中的抗体是经过大量筛选,选取了高特异性和低背景的抗体。p-P38MAPK抗体是基于P38的磷酸化Thr180到Tyr182这个位点多肽片段所制备。P-JNK抗体是基于人的Thr183和Tyr185.这个抗体可以同时识别P-JNK1和P-JNK2.我们在运用Cell Based Elisa P38和JNK两个试剂盒做检测的同时,又用传统的WB方式来验证这个结果。经过反复验证,都得出了同样的结果, Cell Based
技术资料暂无技术资料 索取技术资料








