相关产品推荐更多 >
万千商家帮你免费找货
0 人在求购买到急需产品
- 详细信息
- 文献和实验
- 技术资料
- 免疫原:
Peptide sequence around phosphorylation site of threonine 180 (E-M-T(p)-G-Y ) derived from Human P38MAPK.
- 形态:
liquid
- 保存条件:
Store at -20˚C
- 克隆性:
Polyclonal
- 适应物种:
Human;Mouse;Rat
- 保质期:
12 months
- 抗原来源:
Rabbit
- 供应商:
南京赛戈巍生物科技有限公司
- 宿主:
Rabbit
- 应用范围:
WB IHC
- 靶点:
Uniprot:Q16539
- 抗体英文名:
P38 MAPK(Phospho-Thr180) Antibody
- 规格:
50ul/100ul
配方:Supplied at 1.0mg/mL in phosphate buffered saline (without Mg2+ and Ca2+), pH 7.4, 150mM NaCl, 0.02% sodium azide and 50% glycerol.
应用详情:
Predicted MW: 43kd
Western blotting: 1:500~1:1000
Immunohistochemistry: 1:50~1:100
图片:

Western blot analysis of extracts from HT29 cells untreated or treated with UV using P38 MAPK(Phospho-Thr180) Antibody #11252.
,

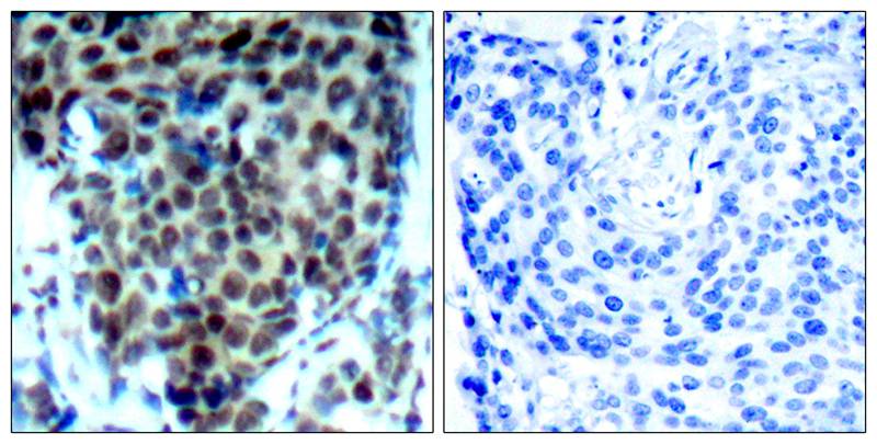
Immunohistochemical analysis of paraffin-embedded human breast carcinoma tissue using P38 MAPK(Phospho-Thr180) Antibody #11252(left) or the same antibody preincubated with blocking peptide(right).
,

Western blot analysis of extracts from HL60 cells, treated with TNFa or calf intestinal phosphatase (CIP), using P38 MAPK (Phospho-Thr180) Antibody #11252.
风险提示:丁香通仅作为第三方平台,为商家信息发布提供平台空间。用户咨询产品时请注意保护个人信息及财产安全,合理判断,谨慎选购商品,商家和用户对交易行为负责。对于医疗器械类产品,请先查证核实企业经营资质和医疗器械产品注册证情况。
文献和实验【求助】请问如何检测RAS、MAPK、p38、p21 ?参与者:liqunfeng请问如何检测RAS、MAPK、p38、p21??谁帮帮我啊参与者:xiaolx你在网上搜搜别人的实验中怎么检测的,不就知道了。p38,我师姐做过免疫组化。参与者:zhangyuelin1999检测信号通路现在用的比较多的方法应该是Western blot,它是测细胞中的蛋白含量(半定量)的最好方法了,免疫组化检测是定性的!如果时间充裕的话,你可以两种方法都可以做的。RAS:Ras蛋白是细胞内的一种小分子GTP结合
运用Cell Based Elisa检测信号通路蛋白和磷酸化蛋白
results of phosphorylated proteins磷酸化的试剂盒中的抗体是经过大量筛选,选取了高特异性和低背景的抗体。p-P38MAPK抗体是基于P38的磷酸化Thr180到Tyr182这个位点多肽片段所制备。P-JNK抗体是基于人的Thr183和Tyr185.这个抗体可以同时识别P-JNK1和P-JNK2.我们在运用Cell Based Elisa P38和JNK两个试剂盒做检测的同时,又用传统的WB方式来验证这个结果。经过反复验证,都得出了同样的结果, Cell Based
yy59410 在下在做MAPK通路对皮肤成纤维细胞凋亡诱导的作用,我分别用p38,JNK,ERK相应的通路抑制剂阻断相应的通路后看给药后细胞的情况,发现这些通路的阻断并不能阻断药物对细胞的凋亡诱导,想请教坛子里的高手们这是怎么回事?我接下来需要做什么? 希望大侠们赐教。不甚感激啊。 chuckdouble yy59410 wrote: 在下在做MAPK通路对皮肤成纤维
技术资料暂无技术资料 索取技术资料





![MFN1 Rabbit Polyclonal Antibody[55628]](https://img1.dxycdn.com/p/s14/2025/0922/498/0460884283108299691.jpg!wh200)
![KCTD17 Conjugated Antibody[C31844]](https://img1.dxycdn.com/p/s14/2025/0923/305/2150219664296040791.jpg!wh200)

![Kif 7 Monoclonal Antibody[40437]](https://img1.dxycdn.com/p/s14/2025/0922/568/0046652811090600791.jpg!wh200)
![RRP8 Antibody[47746]](https://img1.dxycdn.com/p/s14/2025/0923/496/0462304380155040791.jpg!wh200)

