相关产品推荐更多 >
万千商家帮你免费找货
0 人在求购买到急需产品
- 详细信息
- 文献和实验
- 技术资料
- 免疫原:
KLH conjugated synthetic peptide derived between 13820 amino acids of human Nociceptin Receptor
- 亚型:
IgG
- 形态:
Liquid
- 保存条件:
Store as concentrated solution. Centrifuge briefly prior to opening vial. For short-term storage (1-2 weeks), store at 4ºC. For long-term storage, aliquot and store at -20ºC or below. Avoid multiple freeze-thaw cycles.
- 克隆性:
Polyclonal
- 标记物:
Unconjugated
- 适应物种:
Human, Mouse, Rat
- 保质期:
12 months from the shipping date of the product.
- 抗原来源:
Human
- 目录编号:
GTX37594
- 级别:
Primary Antibodies
- 库存:
Available
- 供应商:
GeneTex
- 宿主:
Rabbit
- 应用范围:
WB, IHC-P, IHC-Fr
- 浓度:
0.5 mg/ml (Please refer to the vial label for the specific concentration.)
- 靶点:
Nociceptin Receptor
- 抗体英文名:
Nociceptin Receptor antibody
- 抗体名:
Nociceptin Receptor 抗体
- 规格:
100 μg
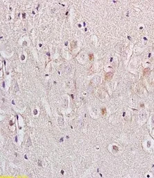
IHC-P analysis of rat brain tissue using GTX37594 Nociceptin Receptor antibody.
IHC-Fr analysis of human placenta tissue using GTX37594 Nociceptin Receptor antibody.
WB analysis of rat heart (Lane 1) and rat brain(Lane 2) tissue lysates using GTX37594 Nociceptin Receptor antibody.
IHC-Fr analysis of mouse hippocampus tissue using GTX37594 Nociceptin Receptor antibody.
风险提示:丁香通仅作为第三方平台,为商家信息发布提供平台空间。用户咨询产品时请注意保护个人信息及财产安全,合理判断,谨慎选购商品,商家和用户对交易行为负责。对于医疗器械类产品,请先查证核实企业经营资质和医疗器械产品注册证情况。
文献和实验Aspects of CNS Lupus: Mouse Models of Anti-NMDA Receptor Antibody Mediated Reactivity
This chapter describes methods utilized in establishing a mouse model of neuropsychiatric lupus encompassing both cognitive and emotional dysfunction, and a model of the influence of maternal antibody on the developing brain. The antibody
This work describes protocols for the production of single-chain antibody and T-cell receptor fragments inE. coli . A choice of methods is given for the purification of the recombinant fragments that rely on the use of either immunoaffinity
Antibody Targeted siRNA Delivery
only. The commercial success of in vivo applications of RNAi hinges on the development of new delivery methods. Our strategy involves the use of antibody-based delivery agents to target and deliver siRNA into specific cell types. We have developed antibody-based agents
技术资料暂无技术资料 索取技术资料





![KAP1 antibody [4E1-D12-F8]](https://img1.dxycdn.com/2023/0711/451/6106825198874858761-14.jpg!wh200)

![ZAP70 antibody [SBZAP] (FITC)](https://custom.dxycdn.com/trademd/upload/pic/2011/12/14/1323695851.jpg!small.t.1)


