相关产品推荐更多 >
万千商家帮你免费找货
0 人在求购买到急需产品
- 详细信息
- 文献和实验
- 技术资料
- 免疫原:
Rat Spleen cell homogenate.
- 亚型:
IgG1
- 形态:
Liquid
- 保存条件:
Store as concentrated solution. Centrifuge briefly prior to opening vial. For short-term storage (1-2 weeks), store at 4ºC. For long-term storage, aliquot and store at -20ºC or below. Avoid multiple freeze-thaw cycles.
- 克隆性:
Monoclonal
- 标记物:
Unconjugated
- 适应物种:
Mouse, Rat
- 保质期:
12 months from the shipping date of the product.
- 抗原来源:
Rat
- 目录编号:
GTX42367
- 级别:
Primary Antibodies
- 库存:
Available
- 供应商:
GeneTex
- 宿主:
Mouse
- 应用范围:
WB, ICC/IF, IHC-P, IHC-Fr, FACS, IP
- 浓度:
0.5 mg/ml (Please refer to the vial label for the specific concentration.)
- 靶点:
CD163
- 抗体英文名:
CD163 antibody [ED2]
- 抗体名:
CD163 抗体 [ED2]
- 规格:
100 μg
IHC-Fr analysis of rat lymph node tissue using GTX42367 CD163 antibody [ED2].
IHC-Fr analysis of rat lymph node tissue using GTX42367 CD163 antibody [ED2].
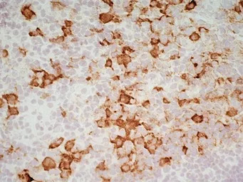
IHC-Fr analysis of rat spleen tissue using GTX42367 CD163 antibody [ED2].
IHC-Fr staining of rat lymph node with Mouse anti Rat CD163 antibody (GTX42367), red an A and Mouse anti Rat CD8, green in B. C is the merged image with nuclei counter-stained blue using DAPI. High power
IHC-Fr staining of rat lymph node with Mouse anti Rat CD163 antibody (GTX42367), red an A and Mouse anti Rat CD8, green in B. C is the merged image with nuclei counter-stained blue using DAPI. Low power
IHC-Fr analysis of rat lymph node tissue using GTX42367 CD163 antibody [ED2].
IHC-Fr analysis of rat lymph node tissue using GTX42367 CD163 antibody [ED2].
风险提示:丁香通仅作为第三方平台,为商家信息发布提供平台空间。用户咨询产品时请注意保护个人信息及财产安全,合理判断,谨慎选购商品,商家和用户对交易行为负责。对于医疗器械类产品,请先查证核实企业经营资质和医疗器械产品注册证情况。
文献和实验Liu S et al., Oxid Med Cell Longev 2021 (PMID:33532035)
Deng S et al., Neurotherapeutics 2020 (PMID:32783091)
Mao L et al., Cell Death Dis 2017 (PMID:29095439)
Jaione Simon-Santamaria et al., PLoS One . 2014 (PMID:25375646)
大鼠ED-1/sCD68分子(ED-1)ELISA试剂盒 说明书
上海西唐生物科技有限公司 021-55229872, 65333639 www.westang.com 大鼠 ED-1/sCD68 分子 (ED-1)ELISA 试剂盒 ( 用于血清、血浆、细胞培养上清液和其它生物体液内 ) 原理 本实验采用双抗体夹心 ABC-ELISA 法。用抗大鼠 CD68 单抗包被于酶标板上,标准品和样品中的 CD68 与单抗结合,加入生物素化的抗大鼠 CD68 ,形成免疫
人可溶性CD163分子(sCD163)ELISA试剂盒 说明书
人可溶性CD163 分子 ( sCD163 )ELISA 试剂盒 ( 用于血清、血浆、细胞培养上清液和其它生物体液内 ) 原理 本实验采用双抗体夹心 ABC-ELISA 法。用抗人 sCD163 单抗包被于酶标板上,标准品和样品中的 sCD163与单抗结合,加入生物素化的抗人 sCD163 ,形成免疫复合物连接在板上,辣根过氧化物酶标记的 Streptavidin 与生物素结合,加入底物工作液显蓝色,最后
Cytotoxic Tumor Targeting With scFv Antibody-Modified Liposomes
molecules on the liposome surface are maleimides that are linked to phospholipids composing the liposome bilayer membrane. We illustrate the coupling method of a functionalized single-chain antibody fragment with binding specificity to ED-B fibronectin
技术资料暂无技术资料 索取技术资料







![CtBP2 antibody [N1N3]](https://img1.dxycdn.com/2023/0516/407/0466332107306928561-14.jpg!wh200)

