相关产品推荐更多 >
万千商家帮你免费找货
0 人在求购买到急需产品
- 详细信息
- 文献和实验
- 技术资料
- 免疫原:
Jagged2-expressing CHO cells.
- 亚型:
IgG
- 形态:
Liquid
- 保存条件:
Store as concentrated solution. Centrifuge briefly prior to opening vial. For short-term storage (1-2 weeks), store at 4ºC. For long-term storage, aliquot and store at -20ºC or below. Avoid multiple freeze-thaw cycles.
- 克隆性:
Monoclonal
- 标记物:
Unconjugated
- 适应物种:
Human, Mouse, Rat
- 保质期:
12 months from the shipping date of the product.
- 抗原来源:
Mouse
- 目录编号:
GTX39914
- 级别:
Primary Antibodies
- 库存:
Available
- 供应商:
GeneTex
- 宿主:
Armenian Hamster
- 应用范围:
IHC-P, IHC-Fr, FACS
- 浓度:
1.0 mg/ml (Please refer to the vial label for the specific concentration.)
- 靶点:
Jagged 2
- 抗体英文名:
Jagged 2 antibody [HMJ2-1]
- 抗体名:
Jagged 2 抗体 [HMJ2-1]
- 规格:
100 μg
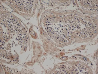
IHC-P analysis of human testis tissue using Jagged 2 antibody [HMJ2-1].
FACS analysis of mouse Jagged 2 transfected cells using GTX39914 Jagged 2 antibody [HMJ2-1].
风险提示:丁香通仅作为第三方平台,为商家信息发布提供平台空间。用户咨询产品时请注意保护个人信息及财产安全,合理判断,谨慎选购商品,商家和用户对交易行为负责。对于医疗器械类产品,请先查证核实企业经营资质和医疗器械产品注册证情况。
文献和实验[资源] 所有的看家基因(housekeeping genes)列表+引物设计服务
, 1; barrier to autointegration factor (BCRP1), mRNA 1303 NM_000214 Homo sapiens jagged 1 (Alagille syndrome) (JAG1), mRNA 536 NM_002167 Homo sapiens inhibitor of DNA binding 3, dominant negative helix-loop-helix protein (ID3), mRNA 1192 NM_001664 Homo
技术资料暂无技术资料 索取技术资料






![Apolipoprotein H antibody [N1C2]](https://img1.dxycdn.com/2023/0516/045/6925717576889828561-14.jpg!wh200)
![CDC34 antibody [90.12]](https://img1.dxycdn.com/2023/0711/451/6106825198874858761-14.jpg!wh200)

