相关产品推荐更多 >
万千商家帮你免费找货
0 人在求购买到急需产品
- 详细信息
- 文献和实验
- 技术资料
- 免疫原:
Recombinant protein encompassing a sequence within the center region of human Asparagine synthetase. The exact sequence is proprietary.
- 亚型:
IgG
- 形态:
Liquid
- 保存条件:
Store as concentrated solution. Centrifuge briefly prior to opening vial. For short-term storage (1-2 weeks), store at 4ºC. For long-term storage, aliquot and store at -20ºC or below. Avoid multiple freeze-thaw cycles.
- 克隆性:
Polyclonal
- 标记物:
Unconjugated
- 适应物种:
Human
- 保质期:
12 months from the shipping date of the product.
- 抗原来源:
Human
- 目录编号:
GTX114269
- 级别:
Primary Antibodies
- 库存:
Available
- 供应商:
GeneTex
- 宿主:
Rabbit
- 应用范围:
WB, IHC-P
- 浓度:
1 mg/ml (Please refer to the vial label for the specific concentration.)
- 靶点:
Asparagine synthetase
- 抗体英文名:
Asparagine synthetase antibody
- 抗体名:
Asparagine synthetase 抗体
- 规格:
100 μl/25 μl
| 规格: | 100 μl | 产品价格: | ¥4000.0 |
|---|---|---|---|
| 规格: | 25 μl | 产品价格: | ¥1700.0 |
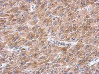
Immunohistochemical analysis of paraffin-embedded U87 xenograft, using Asparagine synthetase(GTX114269) antibody at 1:500 dilution.
Antigen Retrieval: Trilogy™ (EDTA based, pH 8.0) buffer, 15min
Sample (30 ug of whole cell lysate)
A: Raji
B: K562
7.5% SDS PAGE
GTX114269 diluted at 1:5000
风险提示:丁香通仅作为第三方平台,为商家信息发布提供平台空间。用户咨询产品时请注意保护个人信息及财产安全,合理判断,谨慎选购商品,商家和用户对交易行为负责。对于医疗器械类产品,请先查证核实企业经营资质和医疗器械产品注册证情况。
文献和实验α -氨基酸的一种,即天冬氨酸的β -酰胺。最初是从天门冬属中发现的。广泛分布于植物界,甜菜根、发芽的豆类、马铃薯等含量高。 D-天冬酰胺可以从窄叶野豌豆中得到。天冬酰胺在生物体内,是从天冬氨酸、氨和 ATP由天冬酰胶合成酶( asparagi- ne synthetase, EC6. 3. 1. 1.)合成的,似乎与谷氨酰胺一样参与氨基氮的贮存和供给。
Determination of Antibody Glycosylation by Mass Spectrometry
Immunoglobulin (Ig) G is formed by two antigen-binding moieties termed Fabs and a conserved Fc �portion, which interacts with components of the immune systems. Within the Fc, N-linked carbohydrates are attached to each conserved asparagine
monoclonal antibody production fusion
), 3 L, 0.22 (or 0.45) µm-filtered, store at -20ѓC = Asp-Arg x100, 1 L + Gluta x 50, 2 L + mercaptoethanol, 350 µl Asp-Arg x100, 1 L, pH 6.0 = L-Asparagine, 3.6 g (0.24 mM) + L-Arginine (0.55 mM), 11.6 g + HCl, 0.5N, 100 ml -> heat to 37ѓC
技术资料暂无技术资料 索取技术资料






![SRC1 antibody [1135]](https://img1.dxycdn.com/2023/0711/451/6106825198874858761-14.jpg!wh200)

![PCK2 antibody [C1C2], Internal](https://img1.dxycdn.com/2023/0516/895/8887749495766728561-14.jpg!wh200)

