相关产品推荐更多 >
万千商家帮你免费找货
0 人在求购买到急需产品
- 详细信息
- 文献和实验
- 技术资料
- 免疫原:
Full length human 4E-BP1 Recombinant protein.
- 亚型:
IgG
- 形态:
Liquid
- 保存条件:
Store as concentrated solution. Centrifuge briefly prior to opening vial. For short-term storage (1-2 weeks), store at 4ºC. For long-term storage, aliquot and store at -20ºC or below. Avoid multiple freeze-thaw cycles.
- 克隆性:
Polyclonal
- 标记物:
Unconjugated
- 适应物种:
Human, Rat
- 保质期:
12 months from the shipping date of the product.
- 抗原来源:
Human
- 目录编号:
GTX109162
- 级别:
Primary Antibodies
- 库存:
Available
- 供应商:
GeneTex
- 宿主:
Rabbit
- 应用范围:
WB, IHC-P, IP
- 浓度:
0.13 mg/ml (Please refer to the vial label for the specific concentration.)
- 靶点:
4E-BP1
- 抗体英文名:
4E-BP1 antibody [N1C3]
- 抗体名:
4E-BP1 抗体 [N1C3]
- 规格:
100 μl/25 μl
| 规格: | 100 μl | 产品价格: | ¥4000.0 |
|---|---|---|---|
| 规格: | 25 μl | 产品价格: | ¥1700.0 |
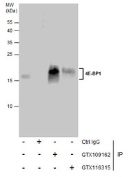
Immunoprecipitation of 4E-BP1 protein from HCT116 whole cell extracts using 5 μg of 4E-BP1 antibody [N1C3] (GTX109162) or 4E-BP1 antibody [N1C3-2] (GTX116315).
Western blot analysis was performed using 4E-BP1 antibody [N1C3] (GTX109162).
EasyBlot anti-Rabbit IgG (GTX221666-01) was used as a secondary reagent.
Wild-type (WT) and 4E-BP1 knockout (KO) HeLa cell extracts (30 μg) were separated by 15% SDS-PAGE, and the membrane was blotted with 4E-BP1 antibody [N1C3] (GTX109162) diluted at 1:500. The HRP-conjugated anti-rabbit IgG antibody (GTX213110-01) was used to detect the primary antibody.
Immunohistochemical analysis of paraffin-embedded RT2 xenograft, using EIF4EBP1(GTX109162) antibody at 1:500 dilution.
Antigen Retrieval: Trilogy™ (EDTA based, pH 8.0) buffer, 15min
4E-BP1 antibody detects 4E-BP1 protein by western blot analysis. Various whole cell extracts (30 μg) were separated by 15% SDS-PAGE, and the membrane was blotted with 4E-BP1 antibody (GTX109162) diluted at a dilution of 1:2000.
风险提示:丁香通仅作为第三方平台,为商家信息发布提供平台空间。用户咨询产品时请注意保护个人信息及财产安全,合理判断,谨慎选购商品,商家和用户对交易行为负责。对于医疗器械类产品,请先查证核实企业经营资质和医疗器械产品注册证情况。
文献和实验Yeh YH et al., J Exp Clin Cancer Res 2018 (PMID:29587825)
Yanqi Xie et al., Mol Cancer Ther 2021 (PMID:34376582)
Wu YY et al., J Exp Clin Cancer Res 2019 (PMID:31262325)
Liu YH et al., Phytomedicine 2018 (PMID:30097117)
Expression of Recombinant Antibody Fusion Proteins in E. coli
Conjugates of antibodies or antibody fragments with foreign proteins have attracted interest because of their therapeutic potential as antitumor agents in vivo. Localization of the complex to the target site is dependent on the specificity
Expression and Isolation of Recombinant Antibody Fragments in E. coli
antibodies (MAbs), functional derivatives (antibody fragments) carrying antigen (Ag)-binding activities, and comprising at minimum the antibody variable heavy- and light-chain domains, can be readily produced in bacterial cells (1 ). The range of antibody
E.Z.N.Z.TM MicroElute RNA Clean-up Protocol
实验步骤 1. Measure the volume of sample and adjust the sample volume to 100ul with DEPC-Water and proceed to step 2. 2. Add 350ul QVL Lysis buffer and mix by vortexing at maximum speed for 15 seconds. When process small
技术资料暂无技术资料 索取技术资料






![SEC24D antibody [C2C3], C-term](https://img1.dxycdn.com/2023/0516/407/0466332107306928561-14.jpg!wh200)

![Cathepsin D antibody [N2C2], Internal](https://img1.dxycdn.com/2023/0516/045/6925717576889828561-14.jpg!wh200)

