相关产品推荐更多 >
万千商家帮你免费找货
0 人在求购买到急需产品
- 详细信息
- 文献和实验
- 技术资料
- 免疫原:
Recombinant protein encompassing a sequence within the C-terminus region of human Pez. The exact sequence is proprietary.
- 亚型:
IgG
- 形态:
Liquid
- 保存条件:
Store as concentrated solution. Centrifuge briefly prior to opening vial. For short-term storage (1-2 weeks), store at 4ºC. For long-term storage, aliquot and store at -20ºC or below. Avoid multiple freeze-thaw cycles.
- 克隆性:
Polyclonal
- 标记物:
Unconjugated
- 适应物种:
Human
- 保质期:
12 months from the shipping date of the product.
- 抗原来源:
Human
- 目录编号:
GTX105769
- 级别:
Primary Antibodies
- 库存:
Available
- 供应商:
GeneTex
- 宿主:
Rabbit
- 应用范围:
WB, IHC-P
- 浓度:
1 mg/ml (Please refer to the vial label for the specific concentration.)
- 靶点:
Pez
- 抗体英文名:
Pez antibody [C2C3], C-term
- 抗体名:
Pez 抗体 [C2C3], C-term
- 规格:
100 μl/25 μl
| 规格: | 100 μl | 产品价格: | ¥4000.0 |
|---|---|---|---|
| 规格: | 25 μl | 产品价格: | ¥1700.0 |
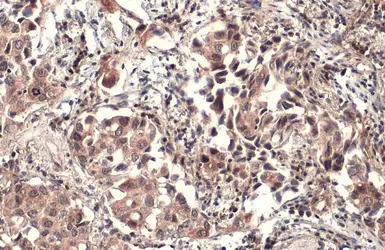
Pez antibody [C2C3], C-term detects Pez protein at cytoplasm by immunohistochemical analysis.
Sample: Paraffin-embedded human lung cancer.
Pez stained by Pez antibody [C2C3], C-term (GTX105769) diluted at 1:500.
Antigen Retrieval: Citrate buffer, pH 6.0, 15 min
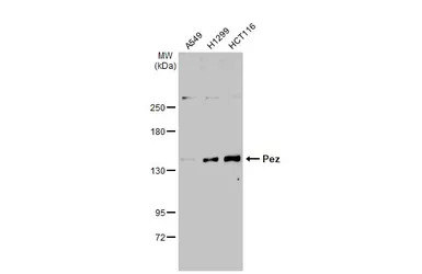
Various whole cell extracts (30 μg) were separated by 5% SDS-PAGE, and the membrane was blotted with Pez antibody [C2C3], C-term (GTX105769) diluted at 1:1000. The HRP-conjugated anti-rabbit IgG antibody (GTX213110-01) was used to detect the primary antibody.
Immunohistochemical analysis of paraffin-embedded human lung papillory adenocarcinoma, using Pez(GTX105769) antibody at 1:500 dilution.
Antigen Retrieval: Trilogy™ (EDTA based, pH 8.0) buffer, 15min
风险提示:丁香通仅作为第三方平台,为商家信息发布提供平台空间。用户咨询产品时请注意保护个人信息及财产安全,合理判断,谨慎选购商品,商家和用户对交易行为负责。对于医疗器械类产品,请先查证核实企业经营资质和医疗器械产品注册证情况。
文献和实验于研究。 性能参数 LIST OF ANTBODY PRODUCTS AP8401a BDP1 N-term Antibody AP8408b MEG2 C-term Antibody AP8451b PPP3CA C-term Antibody AP8449b CTDSP1 C-term Antibody AP8408a MEG2 N-term Antibody AP8451a PPP3CA N-term Antibody AP8449
1: Proteomics in Biomedicine - A Tool, a Science, or an Art? (p 5-15) Prof. Marc A. Reymond Part II: Blood Vessels Chapter 2: Antibody-Based Vascular Targeting: Proteomic Techniques for the Identification and Quantification of Membrane Proteins
临床实验结果喜人!NEJM 揭示新型四价登革热疫苗有效性可达 80.2%
以及肌肉的疼痛,这也是「骨痛热」的由来。高烧退去后,部分病人会经历血浆蛋白渗出,这可能会导致体液堆积在胸腹腔后造成低血压休克,也可能会导致严重出血致死。四种登革热病毒亚型的分布4图片来源:Nature Reviews Microbiology登革热的病毒有四种亚型,DEN 1 - 4,四种亚型都在全世界范围内广泛分布4。感染一种后会对该种病毒终身免疫。可当病人再次感染其他亚型时,其症状会更加严重,甚至可能导致患者的死亡,这种现象称为 Antibody-Dependent Enhancement(ADE
技术资料暂无技术资料 索取技术资料





![CD55 antibody [67]](https://custom.dxycdn.com/trademd/upload/pic/2011/12/14/1323695851.jpg!small.t.1)





