相关产品推荐更多 >
万千商家帮你免费找货
0 人在求购买到急需产品
- 详细信息
- 文献和实验
- 技术资料
- 免疫原:
Carrier-protein conjugated synthetic peptide encompassing a sequence within the N-terminus region of human Opsin 3. The exact sequence is proprietary.
- 亚型:
IgG
- 形态:
Liquid
- 保存条件:
Store as concentrated solution. Centrifuge briefly prior to opening vial. For short-term storage (1-2 weeks), store at 4ºC. For long-term storage, aliquot and store at -20ºC or below. Avoid multiple freeze-thaw cycles.
- 克隆性:
Polyclonal
- 标记物:
Unconjugated
- 适应物种:
Human, Mouse
- 保质期:
12 months from the shipping date of the product.
- 抗原来源:
Human
- 目录编号:
GTX108155
- 级别:
Primary Antibodies
- 库存:
Available
- 供应商:
GeneTex
- 宿主:
Rabbit
- 应用范围:
WB, IHC-P, IHC-Fr
- 浓度:
1.13 mg/ml (Please refer to the vial label for the specific concentration.)
- 靶点:
Opsin 3
- 抗体英文名:
Opsin 3 antibody [N1], N-term
- 抗体名:
Opsin 3 抗体 [N1], N-term
- 规格:
100 μl/25 μl
| 规格: | 100 μl | 产品价格: | ¥4000.0 |
|---|---|---|---|
| 规格: | 25 μl | 产品价格: | ¥1700.0 |
Opsin 3 antibody [N1], N-term detects Opsin 3 protein expression by immunohistochemical analysis.
Sample: Frozen sectioned adult mouse retina.
Green: Opsin 3 protein stained by Opsin 3 antibody [N1], N-term (GTX108155) diluted at 1:250.
Red: beta Tubulin 3/ TUJ1, stained by beta Tubulin 3/ TUJ1 antibody [GT11710] (GTX631836) diluted at 1:250.
Blue: Fluoroshield with DAPI (GTX30920).
Whole cell extract (30 μg) was separated by 10% SDS-PAGE, and the membrane was blotted with Opsin 3 antibody [N1], N-term (GTX108155) diluted at 1:1000. The HRP-conjugated anti-rabbit IgG antibody (GTX213110-01) was used to detect the primary antibody.
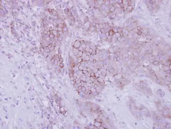
Immunohistochemical analysis of paraffin-embedded human breast cancer, using Opsin 3(GTX108155) antibody at 1:250 dilution.
Antigen Retrieval: Trilogy™ (EDTA based, pH 8.0) buffer, 15min
风险提示:丁香通仅作为第三方平台,为商家信息发布提供平台空间。用户咨询产品时请注意保护个人信息及财产安全,合理判断,谨慎选购商品,商家和用户对交易行为负责。对于医疗器械类产品,请先查证核实企业经营资质和医疗器械产品注册证情况。
文献和实验i 的概率,任何时刻一个变量被选取是随机的)的二项分布。这一二项分布可以很好地近似为参数泊松分布,而且计算起来也更容易。 7. 见注 2。对于这种情况,λ 可以计算如下。不同于等概率情况,λi 在这里是不同的。首先,为了计算 λ,我们需要计算所有的 n = 2110 个参数 λi,这个工作量很大,但是这里包含了很多重复,这一特征可以用来简化计算。而且,让我们确定一些由五元组(n1,n2,n3,n4,n5)确定的十肽,由密码子的数量可知,它们的概率在所描述的十肽中分别为 1/64,2/64,3/64
+Neo+Fas) tumors but not that of N1d (MH134+Neo) tumors in gld/gld lpr/lpr mice. MH134+Neo+FasL tumor cells were rejected after the induction of inflammation with infiltration of neutrophils in mice. These results suggest that electroporation and Fas
The Mouse as Model System to Study Host‐Pathogen Interactions in Influenza A Infections
) Primary antibody (polyclonal, against influenza A virions, H1N1; Virostat, http://www.virostat‐inc.com/) Secondary antibody (anti‐goat‐IgG‐HRP; KPL, http://www.kpl.com
技术资料暂无技术资料 索取技术资料





![Melanoma antibody [HMB45] (ready-to-use)](https://img1.dxycdn.com/2023/0711/451/6106825198874858761-14.jpg!wh200)

![LYPLA1 antibody [N1C3]](https://img1.dxycdn.com/2023/0516/045/6925717576889828561-14.jpg!wh200)


