相关产品推荐更多 >
万千商家帮你免费找货
0 人在求购买到急需产品
- 详细信息
- 文献和实验
- 技术资料
- 免疫原:
KLH conjugated synthetic peptide between 39-66 amino acids from the N-terminal region of human IFNB1.
- 亚型:
IgG
- 形态:
Liquid
- 保存条件:
Store as concentrated solution. Centrifuge briefly prior to opening vial. For short-term storage (1-2 weeks), store at 4ºC. For long-term storage, aliquot and store at -20ºC or below. Avoid multiple freeze-thaw cycles.
- 克隆性:
Polyclonal
- 标记物:
Unconjugated
- 适应物种:
Human
- 保质期:
12 months from the shipping date of the product.
- 抗原来源:
Human
- 目录编号:
GTX81187
- 级别:
Primary Antibodies
- 库存:
Available
- 供应商:
GeneTex
- 宿主:
Rabbit
- 应用范围:
WB, IHC-P, FACS
- 浓度:
Batch dependent (Please refer to the vial label for the specific concentration.)
- 靶点:
Interferon beta
- 抗体英文名:
Interferon beta antibody, N-term
- 抗体名:
Interferon beta 抗体, N-term
- 规格:
400 μl
FACS analysis of HepG2 cells using GTX81187 IFN beta antibody, N-term.
Green : primary antibodyIFN beta
Blue : Isotype control
Fixation : 2% PFA (PFA) (10 min)
Permeabilization : 90% methanol (10 min)
Dilution : 1:25
WB analysis of HepG2 cell lysate (35ug/lane) using GTX81187 IFN beta antibody, N-term.
WB analysis of human liver lysate using GTX81187 IFN beta antibody, N-term.
Loading : 20 μg per lane
Dilution : 1:2000
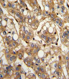
IHC-P analysis of human hepatocarcinoma using GTX81187 IFN beta antibody, N-term.
风险提示:丁香通仅作为第三方平台,为商家信息发布提供平台空间。用户咨询产品时请注意保护个人信息及财产安全,合理判断,谨慎选购商品,商家和用户对交易行为负责。对于医疗器械类产品,请先查证核实企业经营资质和医疗器械产品注册证情况。
文献和实验Anticardiolipin Antibody and Anti-beta 2 Glycoprotein I Antibody Assays
) antibodies and anti-beta 2 glycoprotein I (β2-GPI) antibodies. Other autoantibodies, such as those directed against anionic phospholipids, can also be assayed; however they are not of clinical significance. Participation in a quality assurance
In the field of therapeutic recombinant proteins, monoclonal antibodies (mAbs) have achieved a rising success with more than 30 mAbs that have reached the market in the past 20 years. From a structural standpoint, one of the most important
,后来发现与我买的beta-catenin一抗(中杉金桥分装的santa cruz的产品)说明书上的结果一致。请问大家做beta-catenin免疫荧光用的是哪里的抗体啊,或者是我的方法有问题吗?我也用0.5%TritonX-100打孔了,仍不行。我在这里先谢谢各位了! zhao22840718 还有一种方法不知有没有人试过,就是把beta-catenin构建到pEGFP-N3类载体中,表达融合蛋白,把载体转入细胞,然后加入你的药物。荧光显微镜下观察进核情况
技术资料暂无技术资料 索取技术资料









