相关产品推荐更多 >
万千商家帮你免费找货
0 人在求购买到急需产品
- 详细信息
- 文献和实验
- 技术资料
- 免疫原:
KLH conjugated synthetic peptide between 59-87 amino acids from the C-terminal region of human CCL3 (MIP1 alpha) .
- 亚型:
IgG
- 形态:
Liquid
- 保存条件:
Store as concentrated solution. Centrifuge briefly prior to opening vial. For short-term storage (1-2 weeks), store at 4ºC. For long-term storage, aliquot and store at -20ºC or below. Avoid multiple freeze-thaw cycles.
- 克隆性:
Polyclonal
- 标记物:
Unconjugated
- 适应物种:
Human, Mouse
- 保质期:
12 months from the shipping date of the product.
- 抗原来源:
Human
- 目录编号:
GTX81195
- 级别:
Primary Antibodies
- 库存:
Available
- 供应商:
GeneTex
- 宿主:
Rabbit
- 应用范围:
WB, IHC-P
- 浓度:
Batch dependent (Please refer to the vial label for the specific concentration.)
- 靶点:
MIP1 alpha
- 抗体英文名:
MIP1 alpha antibody, C-term
- 抗体名:
MIP1 alpha 抗体, C-term
- 规格:
400 μl
WB analysis of mouse liver tissue lysate (35ug/lane) using GTX81195 MIP1 alpha antibody, C-term.
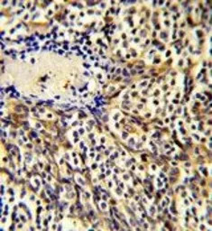
IHC-P analysis of human tonsil using GTX81195 MIP1 alpha antibody, C-term.
风险提示:丁香通仅作为第三方平台,为商家信息发布提供平台空间。用户咨询产品时请注意保护个人信息及财产安全,合理判断,谨慎选购商品,商家和用户对交易行为负责。对于医疗器械类产品,请先查证核实企业经营资质和医疗器械产品注册证情况。
文献和实验In situ hybridisation to alpha satellite sequences (chromosome specific)
Alpha satellite sequences, whilst highly repetitive, are specific to each individual chromosome. These sequences flank the centromeres and can present a target measured in megabases. In this protocol a biotin or digoxigenin labelled DNA
于研究。 性能参数 LIST OF ANTBODY PRODUCTS AP8401a BDP1 N-term Antibody AP8408b MEG2 C-term Antibody AP8451b PPP3CA C-term Antibody AP8449b CTDSP1 C-term Antibody AP8408a MEG2 N-term Antibody AP8451a PPP3CA N-term Antibody AP8449
marrow. The prime suspect: an adhesion molecule called alpha2 integrin. The molecule showed increased expression on memory cells, and its ligand is predominantly expressed in bone marrow tissue. Also, when the researchers blocked alpha2 integrin
技术资料暂无技术资料 索取技术资料





![HDAC3 antibody [GT9007]](https://img1.dxycdn.com/2023/0711/451/6106825198874858761-14.jpg!wh200)

![TRIM23 antibody [N1], N-term](https://img1.dxycdn.com/2023/0516/895/8887749495766728561-14.jpg!wh200)

