相关产品推荐更多 >
万千商家帮你免费找货
0 人在求购买到急需产品
- 详细信息
- 文献和实验
- 技术资料
- 免疫原:
KLH conjugated synthetic peptide between 46-72 amino acids from the Central region of human LTA.
- 亚型:
IgG
- 形态:
Liquid
- 保存条件:
Store as concentrated solution. Centrifuge briefly prior to opening vial. For short-term storage (1-2 weeks), store at 4ºC. For long-term storage, aliquot and store at -20ºC or below. Avoid multiple freeze-thaw cycles.
- 克隆性:
Polyclonal
- 标记物:
Unconjugated
- 适应物种:
Human
- 保质期:
12 months from the shipping date of the product.
- 抗原来源:
Human
- 目录编号:
GTX81207
- 级别:
Primary Antibodies
- 库存:
Available
- 供应商:
GeneTex
- 宿主:
Rabbit
- 应用范围:
WB, IHC-P, FACS
- 浓度:
Batch dependent (Please refer to the vial label for the specific concentration.)
- 靶点:
TNF beta
- 抗体英文名:
TNF beta antibody, Internal
- 抗体名:
TNF beta 抗体, Internal
- 规格:
400 μl
WB analysis of MDA-MB231 cell lysate (35ug/lane) using GTX81207 TNF beta antibody, Internal.
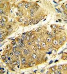
IHC-P analysis of human hepatocarcinoma using GTX81207 TNF beta antibody, Internal.
FACS analysis of HepG2 cells using GTX81207 TNF beta antibody, Internal.
Top histogram : negative control
Bottom histogram : HepG2 cells
风险提示:丁香通仅作为第三方平台,为商家信息发布提供平台空间。用户咨询产品时请注意保护个人信息及财产安全,合理判断,谨慎选购商品,商家和用户对交易行为负责。对于医疗器械类产品,请先查证核实企业经营资质和医疗器械产品注册证情况。
文献和实验Anticardiolipin Antibody and Anti-beta 2 Glycoprotein I Antibody Assays
) antibodies and anti-beta 2 glycoprotein I (β2-GPI) antibodies. Other autoantibodies, such as those directed against anionic phospholipids, can also be assayed; however they are not of clinical significance. Participation in a quality assurance
Tumor necrosis factor-α (TNF-α) is a cytokine (CK) that possesses a wide variety of biological activities, including potent antitumor activities (1 ) and immunomodulatory properties mediated through its binding to two TNF receptors (p55
。 如果beta-catenin抗体不好使,或者EGFP太大影响定位的话,还可以构建Flag标签类载体,转染细胞,加入药物,用抗Flag抗体免疫荧光检测,荧光显微镜下观察就好了。 wangjh28 但按照事先的推测,处理了以后会下调该基因的表达 我觉得科学不能有事先的推测的结果,这样容易受思维定势的影响,而忽略了新发现 dongreyuan 我打算用SAB的β-catenin(Ab-37)Antibody,说明
技术资料暂无技术资料 索取技术资料







![CD133 antibody [6H10-F1-C11]](https://img1.dxycdn.com/2023/0711/451/6106825198874858761-14.jpg!wh200)

