相关产品推荐更多 >
万千商家帮你免费找货
0 人在求购买到急需产品
- 详细信息
- 文献和实验
- 技术资料
- 免疫原:
This EphB2 antibody is generated from rabbits immunized with a recombinant human EphB2 protein.
- 亚型:
IgG
- 形态:
Liquid
- 保存条件:
Store as concentrated solution. Centrifuge briefly prior to opening vial. For short-term storage (1-2 weeks), store at 4ºC. For long-term storage, aliquot and store at -20ºC or below. Avoid multiple freeze-thaw cycles.
- 克隆性:
Polyclonal
- 标记物:
Unconjugated
- 适应物种:
Human
- 保质期:
12 months from the shipping date of the product.
- 抗原来源:
Human
- 目录编号:
GTX81348
- 级别:
Primary Antibodies
- 库存:
Available
- 供应商:
GeneTex
- 宿主:
Rabbit
- 应用范围:
WB, IHC-P, FACS
- 浓度:
Batch dependent (Please refer to the vial label for the specific concentration.)
- 靶点:
EphB2
- 抗体英文名:
EphB2 antibody
- 抗体名:
EphB2 抗体
- 规格:
400 μl
WB analysis of 293 cell lysate (2 ug/lane) either nontransfected (Lane 1) or transiently transfected with the EphB2 (Lane 2) using GTX81348 EphB2 antibody.
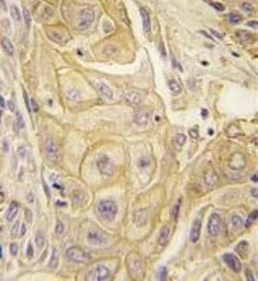
IHC-P analysis of human lung carcinoma using GTX81348 EphB2 antibody.
FACS analysis of NCI-H460 cells using GTX81348 EphB2 antibody.
Top histogram : negative control
Bottom histogram : NCI-H460 cells
风险提示:丁香通仅作为第三方平台,为商家信息发布提供平台空间。用户咨询产品时请注意保护个人信息及财产安全,合理判断,谨慎选购商品,商家和用户对交易行为负责。对于医疗器械类产品,请先查证核实企业经营资质和医疗器械产品注册证情况。
文献和实验碧峤 最近在查找有关受体酪氨酸激酶的资料,可是找不到EphB2 的激动剂和抑制剂,哪位大侠知道? littleniu EphB2本身就是激动剂,可以作用于EphB4等受体,这个系列受体亚型很多,你再查一下弄清楚要问的是哪个受体亚型。 碧峤 EphB2本身是受体,ephrinB是配体,EphB需要结合ephrinB形成二聚体,发生自身酪氨酸磷酸化,并可以引起下游蛋白磷酸化。由于EphB有B1
Generation of Antibody Molecules Through Antibody Engineering
been overcome to a large extent using genetic-engineering techniques to produce chimeric mouse/human and completely human antibodies. Such an approach is particularly suitable because of the domain structure of the antibody molecule ( 2 ), where functional
The importance of antibody molecules was first recognized in the 1890s, when it was shown that immunity to tetanus and diphtheria was caused by antibodies against the bacterial exotoxins (1 ). Around the same time, it was shown that antisera
技术资料暂无技术资料 索取技术资料







![Vimentin antibody [LN-6]](https://img1.dxycdn.com/2023/0711/451/6106825198874858761-14.jpg!wh200)

