相关产品推荐更多 >
万千商家帮你免费找货
0 人在求购买到急需产品
- 详细信息
- 文献和实验
- 技术资料
- 免疫原:
KLH conjugated synthetic peptide between 369-398 amino acids from the C-terminal region of human APOL1.
- 亚型:
IgG
- 形态:
Liquid
- 保存条件:
Store as concentrated solution. Centrifuge briefly prior to opening vial. For short-term storage (1-2 weeks), store at 4ºC. For long-term storage, aliquot and store at -20ºC or below. Avoid multiple freeze-thaw cycles.
- 克隆性:
Polyclonal
- 标记物:
Unconjugated
- 适应物种:
Human
- 保质期:
12 months from the shipping date of the product.
- 抗原来源:
Human
- 目录编号:
GTX81504
- 级别:
Primary Antibodies
- 库存:
Available
- 供应商:
GeneTex
- 宿主:
Rabbit
- 应用范围:
WB, IHC-P
- 浓度:
Batch dependent (Please refer to the vial label for the specific concentration.)
- 靶点:
Apolipoprotein L1
- 抗体英文名:
Apolipoprotein L1 antibody, C-term
- 抗体名:
Apolipoprotein L1 抗体, C-term
- 规格:
400 μl
WB analysis of SK-Br-3 cell lysate (35ug/lane) using GTX81504 Apolipoprotein L1 antibody, C-term.
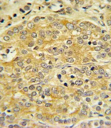
IHC-P analysis of human prostate carcinoma using GTX81504 Apolipoprotein L1 antibody, C-term.
风险提示:丁香通仅作为第三方平台,为商家信息发布提供平台空间。用户咨询产品时请注意保护个人信息及财产安全,合理判断,谨慎选购商品,商家和用户对交易行为负责。对于医疗器械类产品,请先查证核实企业经营资质和医疗器械产品注册证情况。
文献和实验「神药」再显威!杨黄浩等让二甲双胍扮演 PD-L1 「单抗」角色,提高治疗效果
ICBs 的抗肿瘤效果。 该研究成果以 Reducing PD-L1 expression with a self-assembled nanodrug: an alternative to PD-L1 antibody for enhanced chemo-immunotherapy. 为题,发表在了 2021 年 1 月 1 日的 Theranostics 上 [1]。 图片来源:Theranostics 研究内容:此前有研究报道,二甲双胍可以抑制肿瘤进展,改善癌症患者的预后和生存率。此外,也有研
Mini-Antibody Affinity Chromatography of Lysozyme
Multiple noncovalent forces do play a role in the binding between a protein antigen and an antibody directed against that protein. An antigen is bound by the antigen binding site of an antibody that consists of three hypervariable segments
secondary antibody review -- data from 99 publications
cytometry used as a control to detect cell responses targeted antigen 7 Alexa Fluor 488 7 Cy3 8 goat IgG Alexa Fluor 488 1:2000 detect antibody binding in human embryonic kidney 293T cells Invitrogen 9 donkey
技术资料暂无技术资料 索取技术资料








![CD34 antibody [HL1895]](https://img1.dxycdn.com/2023/0711/058/8406876405285858761-14.jpg!wh200)
![CD175 antibody [BRIC111]](https://custom.dxycdn.com/trademd/upload/pic/2011/12/14/1323695851.jpg!small.t.1)

