相关产品推荐更多 >
万千商家帮你免费找货
0 人在求购买到急需产品
- 详细信息
- 文献和实验
- 技术资料
- 免疫原:
KLH conjugated synthetic peptide between 308-337 amino acids from the C-terminal region of human IFNGR2.
- 亚型:
IgG
- 形态:
Liquid
- 保存条件:
Store as concentrated solution. Centrifuge briefly prior to opening vial. For short-term storage (1-2 weeks), store at 4ºC. For long-term storage, aliquot and store at -20ºC or below. Avoid multiple freeze-thaw cycles.
- 克隆性:
Polyclonal
- 标记物:
Unconjugated
- 适应物种:
Human
- 保质期:
12 months from the shipping date of the product.
- 抗原来源:
Human
- 目录编号:
GTX81601
- 级别:
Primary Antibodies
- 库存:
Available
- 供应商:
GeneTex
- 宿主:
Rabbit
- 应用范围:
WB, IHC-P, FACS
- 浓度:
Batch dependent (Please refer to the vial label for the specific concentration.)
- 靶点:
Interferon gamma Receptor 2
- 抗体英文名:
Interferon gamma Receptor 2 antibody, C-term
- 抗体名:
Interferon gamma Receptor 2 抗体, C-term
- 规格:
400 μl
FACS analysis of NCI-H292 cells using GTX81601 Interferon gamma Receptor 2 antibody, C-term.
Top histogram : negative control
Bottom histogram : NCI-H292 cells
WB analysis of MDA-MB453 cell lysate (35ug/lane) using GTX81601 Interferon gamma Receptor 2 antibody, C-term.
WB analysis of human skeletal muscle tissue lysate using GTX81601 Interferon gamma Receptor 2 antibody, C-term.
Loading : 35ug
Dilution : 1:1000
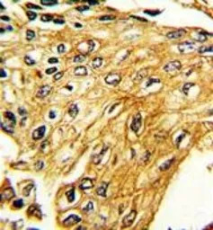
IHC-P analysis of human lung carcinoma using GTX81601 Interferon gamma Receptor 2 antibody, C-term.
风险提示:丁香通仅作为第三方平台,为商家信息发布提供平台空间。用户咨询产品时请注意保护个人信息及财产安全,合理判断,谨慎选购商品,商家和用户对交易行为负责。对于医疗器械类产品,请先查证核实企业经营资质和医疗器械产品注册证情况。
文献和实验Ye J et al., Front Oncol 2019 (PMID:31824844)
Sreevalsan S et al., EMBO Rep 2020 (PMID:33063451)
相关专题 &NBS p; Interleukin 18 (interferon-gamma-inducing factor) IL-18 is a cytokine that belongs to the IL-1 superfamily and is produced by macrophages and other Cell s. IL-18 works by binding
secondary antibody review -- data from 99 publications
cytometry used as a control to detect cell responses targeted antigen 7 Alexa Fluor 488 7 Cy3 8 goat IgG Alexa Fluor 488 1:2000 detect antibody binding in human embryonic kidney 293T cells Invitrogen 9 donkey
Characterisation of Viral Proteins that Inhibit Toll-Like Receptor Signal Transduction
Toll-like receptor (TLR) signalling involves five TIR adapter proteins, which couple to downstream protein kinases that ultimately lead to the activation of transcription factors such as nuclear factor-κB (NF-κB) and members of the interferon
技术资料暂无技术资料 索取技术资料





![Sorbitol Dehydrogenase antibody [2A10]](https://img1.dxycdn.com/2023/0711/451/6106825198874858761-14.jpg!wh200)
![NRF2 antibody [HL1021]](https://img1.dxycdn.com/2023/0711/058/8406876405285858761-14.jpg!wh200)



