相关产品推荐更多 >
万千商家帮你免费找货
0 人在求购买到急需产品
- 详细信息
- 文献和实验
- 技术资料
- 免疫原:
KLH conjugated synthetic peptide between 10-39 amino acids from the N-terminal region of human Calponin-1.
- 亚型:
IgG
- 形态:
Liquid
- 保存条件:
Store as concentrated solution. Centrifuge briefly prior to opening vial. For short-term storage (1-2 weeks), store at 4ºC. For long-term storage, aliquot and store at -20ºC or below. Avoid multiple freeze-thaw cycles.
- 克隆性:
Polyclonal
- 标记物:
Unconjugated
- 适应物种:
Human
- 保质期:
12 months from the shipping date of the product.
- 抗原来源:
Human
- 目录编号:
GTX81714
- 级别:
Primary Antibodies
- 库存:
Available
- 供应商:
GeneTex
- 宿主:
Rabbit
- 应用范围:
WB, IHC-P, FACS
- 浓度:
Batch dependent (Please refer to the vial label for the specific concentration.)
- 靶点:
Calponin 1
- 抗体英文名:
Calponin 1 antibody, N-term
- 抗体名:
Calponin 1 抗体, N-term
- 规格:
400 μl
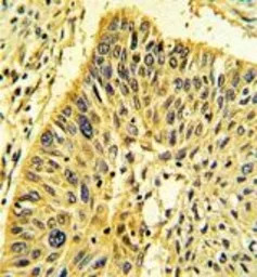
IHC-P analysis of human lung carcinoma using GTX81714 Calponin-1 antibody, N-term.
FACS analysis of NCI-H292 cells using GTX81714 Calponin-1 antibody, N-term.
Top histogram : negative control
Bottom histogram : NCI-H292 cells
WB analysis of HeLa, MDA-MB-453 cell using GTX81714 Calponin-1 antibody, N-term.
Loading : 20ug per lane
Dilution : 1:1000
WB analysis of NCI-H460 cell lysate (35ug/lane) using GTX81714 Calponin-1 antibody, N-term.
风险提示:丁香通仅作为第三方平台,为商家信息发布提供平台空间。用户咨询产品时请注意保护个人信息及财产安全,合理判断,谨慎选购商品,商家和用户对交易行为负责。对于医疗器械类产品,请先查证核实企业经营资质和医疗器械产品注册证情况。
文献和实验Yang HH et al., Proteomics Clin Appl 2016 (PMID:27863071)
In the field of therapeutic recombinant proteins, monoclonal antibodies (mAbs) have achieved a rising success with more than 30 mAbs that have reached the market in the past 20 years. From a structural standpoint, one of the most important
人钙调蛋白 (Calponin)ELISA 试剂盒 ( 用于血清、血浆、细胞培养上清液和其它生物体液内 ) 原理 本实验采用双抗体夹心 ABC-ELISA 法。用抗人 Calponin 单抗包被于酶标板上,标准品和样品中的 Calponin与单抗结合,加入生物素化的抗人 Calponin ,形成免疫复合物连接在板上,辣根过氧化物酶标记的 Streptavidin 与生物素结合,加入底物工作液显蓝
to protect the antibody. These should be stored in smaller aliquots (about 1 ml) and frozen for long term storage though the protected solution is also stable for months at four degrees. Ascites fluid: This is a bit more problematic as it may contain
技术资料暂无技术资料 索取技术资料







![CD4 antibody [GK1.5] (FITC)](https://custom.dxycdn.com/trademd/upload/pic/2011/12/14/1323695851.jpg!small.t.1)

