相关产品推荐更多 >
万千商家帮你免费找货
0 人在求购买到急需产品
- 详细信息
- 文献和实验
- 技术资料
- 免疫原:
KLH conjugated synthetic peptide between 157-187 amino acids from the Central region of human Cathepsin E.
- 亚型:
IgG
- 形态:
Liquid
- 保存条件:
Store as concentrated solution. Centrifuge briefly prior to opening vial. For short-term storage (1-2 weeks), store at 4ºC. For long-term storage, aliquot and store at -20ºC or below. Avoid multiple freeze-thaw cycles.
- 克隆性:
Polyclonal
- 标记物:
Unconjugated
- 适应物种:
Human, Mouse
- 保质期:
12 months from the shipping date of the product.
- 抗原来源:
Human
- 目录编号:
GTX81837
- 级别:
Primary Antibodies
- 库存:
Available
- 供应商:
GeneTex
- 宿主:
Rabbit
- 应用范围:
WB, IHC-P, FACS
- 浓度:
Batch dependent (Please refer to the vial label for the specific concentration.)
- 靶点:
Cathepsin E
- 抗体英文名:
Cathepsin E antibody, Internal
- 抗体名:
Cathepsin E 抗体, Internal
- 规格:
400 μl
WB analysis of K562 cell lysate (35ug/lane) using GTX81837 Cathepsin E antibody, Internal.
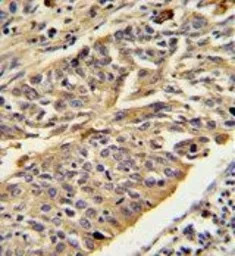
IHC-P analysis of human lung carcinoma using GTX81837 Cathepsin E antibody, Internal.
WB analysis of mouse stomach tissue lysate (35ug/lane) using GTX81837 Cathepsin E antibody, Internal.
FACS analysis of K562 cells using GTX81837 Cathepsin E antibody, Internal.
Green : primary antibody
Blue : negative control
风险提示:丁香通仅作为第三方平台,为商家信息发布提供平台空间。用户咨询产品时请注意保护个人信息及财产安全,合理判断,谨慎选购商品,商家和用户对交易行为负责。对于医疗器械类产品,请先查证核实企业经营资质和医疗器械产品注册证情况。
文献和实验Expression of Recombinant Antibody Fusion Proteins in E. coli
Conjugates of antibodies or antibody fragments with foreign proteins have attracted interest because of their therapeutic potential as antitumor agents in vivo. Localization of the complex to the target site is dependent on the specificity
Expression and Isolation of Recombinant Antibody Fragments in E. coli
antibodies (MAbs), functional derivatives (antibody fragments) carrying antigen (Ag)-binding activities, and comprising at minimum the antibody variable heavy- and light-chain domains, can be readily produced in bacterial cells (1 ). The range of antibody
组织蛋白酶 cathepsin 在各种动物组织的细胞内(特别是溶酶体部分)发现的一类蛋白酶。此名源自希腊语的“消化”,为威尔斯达特( R. Willstā atter, 1929)命名的。来源于同一种类组织细胞的也是由组织蛋白酶 A. B. C. D. E等多种酶组成。可以根据所作用的代表性底物的种类进行分类,但似乎各自还有数种同工酶。组织蛋白酶 A的代表性底物是 N-苄氧基羰基 -L-谷酰胺 -L-苯丙氨酸,最适 pH约 5.5( 3— 6),可能是一种羧肽酶,可为二异丙基磷氟酸
技术资料暂无技术资料 索取技术资料






![p75 NGF Receptor / CD271 antibody [NGFR5]](https://img1.dxycdn.com/2023/0711/451/6106825198874858761-14.jpg!wh200)
![NALP2 antibody [N3C2], Internal](https://img1.dxycdn.com/2023/0516/045/6925717576889828561-14.jpg!wh200)
![LGI1 antibody [N2C2], Internal](https://img1.dxycdn.com/2023/0516/895/8887749495766728561-14.jpg!wh200)


