相关产品推荐更多 >
万千商家帮你免费找货
0 人在求购买到急需产品
- 详细信息
- 文献和实验
- 技术资料
- 免疫原:
KLH conjugated synthetic peptide between 29-59 amino acids from the N-terminal region of human RAGE (AGER).
- 亚型:
IgG
- 形态:
Liquid
- 保存条件:
Store as concentrated solution. Centrifuge briefly prior to opening vial. For short-term storage (1-2 weeks), store at 4ºC. For long-term storage, aliquot and store at -20ºC or below. Avoid multiple freeze-thaw cycles.
- 克隆性:
Polyclonal
- 标记物:
Unconjugated
- 适应物种:
Human, Mouse
- 保质期:
12 months from the shipping date of the product.
- 抗原来源:
Human
- 目录编号:
GTX82505
- 级别:
Primary Antibodies
- 库存:
Available
- 供应商:
GeneTex
- 宿主:
Rabbit
- 应用范围:
WB, IHC-P
- 浓度:
Batch dependent (Please refer to the vial label for the specific concentration.)
- 靶点:
RAGE
- 抗体英文名:
RAGE antibody, N-term
- 抗体名:
RAGE 抗体, N-term
- 规格:
400 μl
WB analysis of various samples using GTX82505 RAGE antibody, N-term.
Lane 1: Human lung lysate
Lane 2: Mouse lung lysate
Loading : 20 μg per lane
Dilution : 1:2000
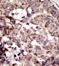
IHC-P analysis of human breast carcinoma using GTX82505 RAGE antibody, N-term.
风险提示:丁香通仅作为第三方平台,为商家信息发布提供平台空间。用户咨询产品时请注意保护个人信息及财产安全,合理判断,谨慎选购商品,商家和用户对交易行为负责。对于医疗器械类产品,请先查证核实企业经营资质和医疗器械产品注册证情况。
文献和实验RACE and RAGE Cloning in Parasitic Microbial Eukaryotes
and RAGE, we used to successfully clone partial and full-length ORFs from amitochondriate parasitic microbial eukaryotes. The RACE approach uses cDNA as template for PCR cloning whereas RAGE uses genomic DNA. These two approaches were used to complement
In the field of therapeutic recombinant proteins, monoclonal antibodies (mAbs) have achieved a rising success with more than 30 mAbs that have reached the market in the past 20 years. From a structural standpoint, one of the most important
to protect the antibody. These should be stored in smaller aliquots (about 1 ml) and frozen for long term storage though the protected solution is also stable for months at four degrees. Ascites fluid: This is a bit more problematic as it may contain
技术资料暂无技术资料 索取技术资料






![alpha 2 Macroglobulin antibody [F1-P1C11 #3]](https://img1.dxycdn.com/2023/0711/451/6106825198874858761-14.jpg!wh200)


