相关产品推荐更多 >
万千商家帮你免费找货
0 人在求购买到急需产品
- 详细信息
- 文献和实验
- 技术资料
- 免疫原:
Recombinant rat alpha-internexin expressed in and purified from E. coli
- 亚型:
IgG1
- 形态:
Liquid
- 保存条件:
Store as concentrated solution. Centrifuge briefly prior to opening vial. For short-term storage (1-2 weeks), store at 4ºC. For long-term storage, aliquot and store at -20ºC or below. Avoid multiple freeze-thaw cycles.
- 克隆性:
Monoclonal
- 标记物:
Unconjugated
- 适应物种:
Human, Rat, Cat
- 保质期:
12 months from the shipping date of the product.
- 抗原来源:
Rat
- 目录编号:
GTX82743
- 级别:
Primary Antibodies
- 库存:
Available
- 供应商:
GeneTex
- 宿主:
Mouse
- 应用范围:
WB, ICC/IF, IHC
- 浓度:
Batch dependent (Please refer to the vial label for the specific concentration.)
- 靶点:
alpha Internexin
- 抗体英文名:
alpha Internexin antibody [1D2]
- 抗体名:
alpha Internexin 抗体 [1D2]
- 规格:
100 μl
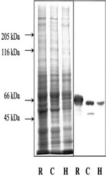
Western blot of rat cortex lysate showing specific immunolabeling of the ~66k alpha internexin protein using alpha Internexin antibody [1D2] (GTX82743).
Left three lanes show Coomassie brilliant blue stained extracts of rat brain stem, cat cerebral cortex and human cerebral cortex (R, C and H respectively). Right three lanes are corresponding blots reacted with GTX82743. GTX82743 stains a band of about 66kDa in all three preparations.
Immunostaining of cultured rat CNS cells showing specific labeling of alpha-internexin in neuronal processes in red and microtubule associated protein 2 in green.
风险提示:丁香通仅作为第三方平台,为商家信息发布提供平台空间。用户咨询产品时请注意保护个人信息及财产安全,合理判断,谨慎选购商品,商家和用户对交易行为负责。对于医疗器械类产品,请先查证核实企业经营资质和医疗器械产品注册证情况。
文献和实验In situ hybridisation to alpha satellite sequences (chromosome specific)
Alpha satellite sequences, whilst highly repetitive, are specific to each individual chromosome. These sequences flank the centromeres and can present a target measured in megabases. In this protocol a biotin or digoxigenin labelled DNA
(1 ). In our laboratory, we have developed methods to immortalize specific antibody-producing cells by fusing secreting EBV-activated lymphocytes to mouse-human heteromyeloma cell lines with electrofusion, followed by cloning (2 ). This methodology has allowed
Immunohistochemistry / Immunocytochemistry Procedures
of fixative for each antigen. However frozen sections give less morphological detail and resolution than other methods. Rabbit anti-alpha-internexin (Cat No. AB5354
技术资料暂无技术资料 索取技术资料





![KDM5A / Jarid1A / RBBP2 antibody [9A6]](https://img1.dxycdn.com/2023/0711/451/6106825198874858761-14.jpg!wh200)



