相关产品推荐更多 >
万千商家帮你免费找货
0 人在求购买到急需产品
- 详细信息
- 文献和实验
- 技术资料
- 免疫原:
This Protein A purified antibody was prepared from whole rabbit serum produced by repeated immunizations with a synthetic polypeptide corresponding to amino acids 314-369 of Human Cyclin L1a protein.
- 亚型:
IgG
- 形态:
Liquid
- 保存条件:
Store as concentrated solution. Centrifuge briefly prior to opening vial. For short-term storage (1-2 weeks), store at 4ºC. For long-term storage, aliquot and store at -20ºC or below. Avoid multiple freeze-thaw cycles.
- 克隆性:
Polyclonal
- 标记物:
Unconjugated
- 适应物种:
Human, Mouse, Drosophila
- 保质期:
12 months from the shipping date of the product.
- 抗原来源:
Human
- 目录编号:
GTX48663
- 级别:
Primary Antibodies
- 库存:
Available
- 供应商:
GeneTex
- 宿主:
Rabbit
- 应用范围:
WB, IHC-P, IP, ELISA
- 浓度:
5 mg/ml (Please refer to the vial label for the specific concentration.)
- 靶点:
This antibody is specific for human Cyclin L1a and shows negligible reactivity to Cyclin L1b or Cyclin L2 isoforms.
- 抗体英文名:
Cyclin L1 (Isoform 1) antibody
- 抗体名:
Cyclin L1 (Isoform 1) 抗体
- 规格:
100 μg
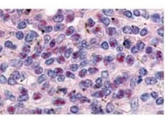
GeneTex's anti-Cyclin L1a antibody was used at a 10 μg/ml to detect Cyclin L1a in a variety of tissues including breast (collagen), heart, kidney (distal tubules), liver, skeletal muscle, ovary μgranulosa and oocyte), pancreas (islet), placenta (trophoblast), prostate (epithelium), skin, spleen (endothelium), stomach (chief), testes (seminiferous epithelium and leydig), thymus (Has-sal's corpuscle and lymphocytes) and uterus μglandular epithelium and stroma). Low to moderate background staining was noted. This image shows Cyclin L1a staining of human spleen. Tissue was formalin-fixed and paraffin embedded.
Western blot using GeneTex's Protein A Purified anti-Cyclin L1a antibody shows detection of a band ~59 kDa corresponding to a Cyclin L1a (arrowhead) present in mouse brain whole cell lysate. Approximately 35μg of lysate was separated by 4-20% SDS-PAGE followed by transfer to nitrocellulose. After blocking the membrane was probed with the primary antibody diluted to 1:3,500 for 2h at room temperature.
风险提示:丁香通仅作为第三方平台,为商家信息发布提供平台空间。用户咨询产品时请注意保护个人信息及财产安全,合理判断,谨慎选购商品,商家和用户对交易行为负责。对于医疗器械类产品,请先查证核实企业经营资质和医疗器械产品注册证情况。
文献和实验Vanhoutte D et al., Elife 2016 (PMID:27669143)
「神药」再显威!杨黄浩等让二甲双胍扮演 PD-L1 「单抗」角色,提高治疗效果
ICBs 的抗肿瘤效果。 该研究成果以 Reducing PD-L1 expression with a self-assembled nanodrug: an alternative to PD-L1 antibody for enhanced chemo-immunotherapy. 为题,发表在了 2021 年 1 月 1 日的 Theranostics 上 [1]。 图片来源:Theranostics 研究内容:此前有研究报道,二甲双胍可以抑制肿瘤进展,改善癌症患者的预后和生存率。此外,也有研
Evaluation of the Cardiac Isoform of 2-Macroglobulin as a Factor Inducing Cardiac Hypertrophy
is a cardiac isoform of α2 -macroglobulin belonging to the macro-globulin family. Furthermore, it has been demonstrated that direct injection of the purified 182-kDa protein intravenously (through the tail vein) into the normal animals led to the development
Generation of Antibodies That Are Externally Acting Isoform-Specific Inhibitors of Ion Channels
There is demand for isoform-specific ion channel inhibitors as tools to investigate the biology of �endogenous ion channels and validate them as targets in drug discovery programs. There is also hope that such inhibitors
技术资料暂无技术资料 索取技术资料










