相关产品推荐更多 >
万千商家帮你免费找货
0 人在求购买到急需产品
- 详细信息
- 文献和实验
- 技术资料
- 免疫原:
This Protein A purified antibody was prepared from whole rabbit serum produced by repeated immunizations with full-length recombinant human SPANX-C protein.
- 亚型:
IgG
- 形态:
Liquid
- 保存条件:
Store as concentrated solution. Centrifuge briefly prior to opening vial. For short-term storage (1-2 weeks), store at 4ºC. For long-term storage, aliquot and store at -20ºC or below. Avoid multiple freeze-thaw cycles.
- 克隆性:
Polyclonal
- 标记物:
Unconjugated
- 适应物种:
Human
- 保质期:
12 months from the shipping date of the product.
- 抗原来源:
Human
- 目录编号:
GTX48817
- 级别:
Primary Antibodies
- 库存:
Available
- 供应商:
GeneTex
- 宿主:
Rabbit
- 应用范围:
WB, IHC-P, ELISA
- 浓度:
5 mg/ml (Please refer to the vial label for the specific concentration.)
- 靶点:
SPANXC
- 抗体英文名:
SPANXC antibody
- 抗体名:
SPANXC 抗体
- 规格:
100 μg
Western blot using GeneTex's Protein A purified anti-SPANX-C antibody shows detection of a band at ~17 kDa corresponding to SPANX-C present in a nuclear extract from VWM105 cells (left panel, arrowhead). VWM105 cells are derived from a human melanoma and are positive for SPANX proteins. Lane 2 shows reactivity with a purified recombinant SPANX-C fusion protein. The right panel shows similar reactivity with purified recombinant SPANX-B, SPANX-C and SPANX-N proteins. Proteins were separated by SDS-PAGE, transferred to nitrocellulose, and probed with the primary antibody diluted to 1:1,000. IRDye™800 conjugated goat anti-Rabbit IgG [H&L] was used (left). IRDye is a trademark of LI-COR, Inc. Size estimation was made by comparison to prestained MW markers as indicated.
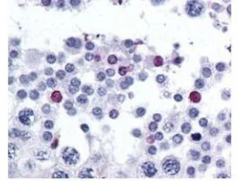
GeneTex's affinity purified anti-SPANX-C antibody was used at 2.5 μg/ml to detect signal in a variety of tissues including multi-human, multi-brain and multi-cancer slides. This image shows moderate positive staining of human sperm and spermatids at 60X. Tissue was formalin-fixed and paraffin embedded. The image shows localization of the antibody as the precipitated red signal, with a hematoxylin purple nuclear counterstain.
风险提示:丁香通仅作为第三方平台,为商家信息发布提供平台空间。用户咨询产品时请注意保护个人信息及财产安全,合理判断,谨慎选购商品,商家和用户对交易行为负责。对于医疗器械类产品,请先查证核实企业经营资质和医疗器械产品注册证情况。
文献和实验Generation of Antibody Molecules Through Antibody Engineering
been overcome to a large extent using genetic-engineering techniques to produce chimeric mouse/human and completely human antibodies. Such an approach is particularly suitable because of the domain structure of the antibody molecule ( 2 ), where functional
The importance of antibody molecules was first recognized in the 1890s, when it was shown that immunity to tetanus and diphtheria was caused by antibodies against the bacterial exotoxins (1 ). Around the same time, it was shown that antisera
General comments: Antibodies, like most proteins, do not like to be freeze-thawed. Avoid repetitive freezing of your solution. The best way to store your antibody is to keep a high protein concentration (>1 mg/ml), add some protease
技术资料暂无技术资料 索取技术资料






![CA19-9 antibody [CA19.9/1390R]](https://img1.dxycdn.com/2023/0711/451/6106825198874858761-14.jpg!wh200)
![ERK1 (phospho Thr202/Tyr204) + ERK2 (phospho Thr185/Tyr187) antibody [HL173]](https://img1.dxycdn.com/2023/0711/058/8406876405285858761-14.jpg!wh200)

