相关产品推荐更多 >
万千商家帮你免费找货
0 人在求购买到急需产品
- 详细信息
- 技术资料
- 免疫原:
This Protein A purified antibody was prepared from whole rabbit serum produced by repeated immunizations with full-length recombinant human SPANX-C protein.
- 亚型:
IgG
- 形态:
Liquid
- 保存条件:
Store as concentrated solution. Centrifuge briefly prior to opening vial. For short-term storage (1-2 weeks), store at 4ºC. For long-term storage, aliquot and store at -20ºC or below. Avoid multiple freeze-thaw cycles.
- 克隆性:
Polyclonal
- 标记物:
Unconjugated
- 适应物种:
Human
- 保质期:
12 months from the shipping date of the product.
- 抗原来源:
Human
- 目录编号:
GTX48817
- 级别:
Primary Antibodies
- 库存:
Available
- 供应商:
GeneTex
- 宿主:
Rabbit
- 应用范围:
WB, IHC-P, ELISA
- 浓度:
5 mg/ml (Please refer to the vial label for the specific concentration.)
- 靶点:
SPANXC
- 抗体英文名:
SPANXC antibody
- 抗体名:
SPANXC 抗体
- 规格:
100 μg
Western blot using GeneTex's Protein A purified anti-SPANX-C antibody shows detection of a band at ~17 kDa corresponding to SPANX-C present in a nuclear extract from VWM105 cells (left panel, arrowhead). VWM105 cells are derived from a human melanoma and are positive for SPANX proteins. Lane 2 shows reactivity with a purified recombinant SPANX-C fusion protein. The right panel shows similar reactivity with purified recombinant SPANX-B, SPANX-C and SPANX-N proteins. Proteins were separated by SDS-PAGE, transferred to nitrocellulose, and probed with the primary antibody diluted to 1:1,000. IRDye™800 conjugated goat anti-Rabbit IgG [H&L] was used (left). IRDye is a trademark of LI-COR, Inc. Size estimation was made by comparison to prestained MW markers as indicated.
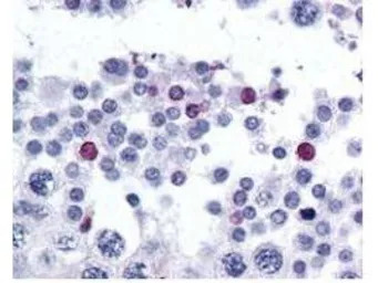
GeneTex's affinity purified anti-SPANX-C antibody was used at 2.5 μg/ml to detect signal in a variety of tissues including multi-human, multi-brain and multi-cancer slides. This image shows moderate positive staining of human sperm and spermatids at 60X. Tissue was formalin-fixed and paraffin embedded. The image shows localization of the antibody as the precipitated red signal, with a hematoxylin purple nuclear counterstain.
风险提示:丁香通仅作为第三方平台,为商家信息发布提供平台空间。用户咨询产品时请注意保护个人信息及财产安全,合理判断,谨慎选购商品,商家和用户对交易行为负责。对于医疗器械类产品,请先查证核实企业经营资质和医疗器械产品注册证情况。
技术资料暂无技术资料 索取技术资料









![HAP40 antibody [HL2642]](https://custom.dxycdn.com/trademd/upload/pic/2013/11/12/A1383891150.jpg!small.t.1)
