相关产品推荐更多 >
万千商家帮你免费找货
0 人在求购买到急需产品
- 详细信息
- 文献和实验
- 技术资料
- 免疫原:
Recombinant protein encompassing a sequence within the center region of human TRIM25. The exact sequence is proprietary.
- 亚型:
IgG
- 形态:
Liquid
- 保存条件:
Store as concentrated solution. Centrifuge briefly prior to opening vial. For short-term storage (1-2 weeks), store at 4ºC. For long-term storage, aliquot and store at -20ºC or below. Avoid multiple freeze-thaw cycles.
- 克隆性:
Polyclonal
- 标记物:
Unconjugated
- 适应物种:
Human
- 保质期:
12 months from the shipping date of the product.
- 抗原来源:
Human
- 目录编号:
GTX116209
- 级别:
Primary Antibodies
- 库存:
Available
- 供应商:
GeneTex
- 宿主:
Rabbit
- 应用范围:
WB, ICC/IF, IHC-P, IP
- 浓度:
1 mg/ml (Please refer to the vial label for the specific concentration.)
- 靶点:
TRIM25
- 抗体英文名:
TRIM25 antibody
- 抗体名:
TRIM25 抗体
- 规格:
100 μl/25 μl
| 规格: | 100 μl | 产品价格: | ¥4000.0 |
|---|---|---|---|
| 规格: | 25 μl | 产品价格: | ¥1700.0 |
TRIM25 antibody immunoprecipitates TRIM25 protein in IP experiments. IP Sample: HeLa whole cell lysate/extract A. 40 μg HeLa whole cell lysate/extract B. Control with 2 μg of preimmune rabbit IgG C. Immunoprecipitation of TRIM25 protein by 2 μg of TRIM25 antibody (GTX116209) 7.5% SDS-PAGE The immunoprecipitated TRIM25 protein was detected by TRIM25 antibody (GTX116209) diluted at 1:1000. EasyBlot anti-rabbit IgG (GTX221666-01) was used as a secondary reagent.
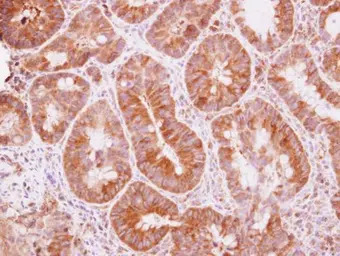
Immunohistochemical analysis of paraffin-embedded human colon carcinoma, using TRIM25(GTX116209) antibody at 1:500 dilution.
Antigen Retrieval: Trilogy™ (EDTA based, pH 8.0) buffer, 15min
Various whole cell extracts (30 μg) were separated by 7.5% SDS-PAGE, and the membrane was blotted with TRIM25 antibody (GTX116209) diluted at 1:500.
Sample (30 ug of whole cell lysate)
A: A549
7.5% SDS PAGE
GTX116209 diluted at 1:1000
TRIM25 antibody detects TRIM25 protein at cytoplasm and nucleus by immunofluorescent analysis.
Sample: HeLa cells were fixed in 4% PFA for 10 min.
Green: TRIM25 protein stained by TRIM25 antibody (GTX116209) diluted at 1:100.
Blue: Hoechst 33342 staining.
Scale bar = 10 μm.
风险提示:丁香通仅作为第三方平台,为商家信息发布提供平台空间。用户咨询产品时请注意保护个人信息及财产安全,合理判断,谨慎选购商品,商家和用户对交易行为负责。对于医疗器械类产品,请先查证核实企业经营资质和医疗器械产品注册证情况。
文献和实验El-Asmi F et al., Cytokine 2020 (PMID:32044670)
Qin X et al., Biochem Biophys Res Commun 2017 (PMID:28867193)
Okudera M et al., Neuroimmunomodulation 2021 (PMID:34937041)
文献速递|Nature Communications:TRIM25 通过相分离调控抗病毒应激颗粒形成及先天免疫应答
2024 年 5 月 15 日,四川大学生物治疗全国重点实验室贾大课题组与合作者在 Nature communications 杂志 ( IF = 16.6 (2023) / JCR 分区: Q1 ) 在线发表了题为「TRIM25 predominately associates with anti-viral stress granules」的研究论文。该工作利用 G3BP1 邻近蛋白生物素化标记实验发现 TRIM25 是抗病毒 SG 的有效标记物。课题组成员发现 TRIM25 会独立发生
Generation of Antibody Molecules Through Antibody Engineering
been overcome to a large extent using genetic-engineering techniques to produce chimeric mouse/human and completely human antibodies. Such an approach is particularly suitable because of the domain structure of the antibody molecule ( 2 ), where functional
The importance of antibody molecules was first recognized in the 1890s, when it was shown that immunity to tetanus and diphtheria was caused by antibodies against the bacterial exotoxins (1 ). Around the same time, it was shown that antisera
技术资料暂无技术资料 索取技术资料






![DC-SIGN antibody [MR-1] (Biotin)](https://custom.dxycdn.com/trademd/upload/pic/2011/12/14/1323695851.jpg!small.t.1)


