相关产品推荐更多 >
万千商家帮你免费找货
0 人在求购买到急需产品
- 详细信息
- 文献和实验
- 技术资料
- 免疫原:
Synthetic peptide taken within amino acid region 10-60 on human VKORC1 protein.
- 亚型:
IgG
- 形态:
Liquid
- 保存条件:
Store as concentrated solution. Centrifuge briefly prior to opening vial. For short-term storage (1-2 weeks), store at 4ºC. For long-term storage, aliquot and store at -20ºC or below. Avoid multiple freeze-thaw cycles.
- 克隆性:
Polyclonal
- 标记物:
Unconjugated
- 适应物种:
Human, Mouse, Rat
- 保质期:
12 months from the shipping date of the product.
- 抗原来源:
Human
- 目录编号:
GTX47837
- 级别:
Primary Antibodies
- 库存:
Available
- 供应商:
GeneTex
- 宿主:
Rabbit
- 应用范围:
WB, ICC/IF, IHC-P, IP, ELISA
- 浓度:
0.65-0.70 mg/ml (Please refer to the vial label for the specific concentration.)
- 靶点:
Vitamin K epoxide reductase
- 抗体英文名:
Vitamin K epoxide reductase antibody
- 抗体名:
Vitamin K epoxide reductase 抗体
- 规格:
100 μg
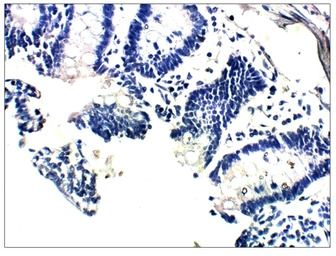
IHC-P analysis of rat small intestine tissue using GTX47837 Vitamin K epoxide reductase antibody.
Dilution : 1:100
WB analysis of VKORC1 recombinant protein using GTX47837 Vitamin K epoxide reductase antibody.
Dilution : 1:500
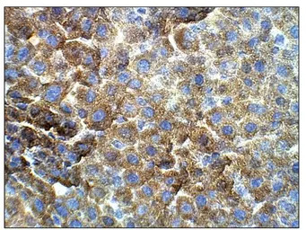
IHC-P analysis of rat liver tissue using GTX47837 Vitamin K epoxide reductase antibody.
Dilution : 1:100
风险提示:丁香通仅作为第三方平台,为商家信息发布提供平台空间。用户咨询产品时请注意保护个人信息及财产安全,合理判断,谨慎选购商品,商家和用户对交易行为负责。对于医疗器械类产品,请先查证核实企业经营资质和医疗器械产品注册证情况。
文献和实验Xin Chen et al., Front Pharmacol 2021 (PMID:34594221)
Xu J et al., Poult Sci 2023 (PMID:36706663)
Zhiqiang Zhou et al., Toxicol In Vitro . 2023 (PMID:36403723)
secondary antibody review -- data from 99 publications
cytometry used as a control to detect cell responses targeted antigen 7 Alexa Fluor 488 7 Cy3 8 goat IgG Alexa Fluor 488 1:2000 detect antibody binding in human embryonic kidney 293T cells Invitrogen 9 donkey
v468.Chapter 3 分泌型跨膜相关蛋白提纯及Wnt抑制活性
). 9. Secondary antibody to use with goat polyclonal reagent: donkeyanti-goat IgG-horseradish peroxidase (HRP) (sc-2056;Santa Cruz Biotechnology). 10. Secondary antibody to use with rabbit polyclonal reagent: donkey anti-rabbit IgG-HRP (#NA934V, GE
image and legend (78k) We analysed these isolated plasma membranes by two-dimensional (2D) gel electrophoresis to produce high-resolution vascular endothelial protein maps of the major rat organs, that were distinct and much reduced
技术资料暂无技术资料 索取技术资料





![OASL antibody [N1C1]](https://img1.dxycdn.com/2023/0711/255/2344116916935858761-14.jpg!wh200)
![DCUN1D1 antibody [N2C3]](https://img1.dxycdn.com/2023/0516/050/2572066211091928561-14.jpg!wh200)
![Alpha fetoprotein / AFP antibody [MBS-12]](https://img1.dxycdn.com/2023/0711/451/6106825198874858761-14.jpg!wh200)


