相关产品推荐更多 >
万千商家帮你免费找货
0 人在求购买到急需产品
- 详细信息
- 文献和实验
- 技术资料
- 免疫原:
Purified recombinant fragment of human Inhibin alpha expressed in E. Coli.
- 亚型:
IgG1
- 形态:
Liquid
- 保存条件:
Store as concentrated solution. Centrifuge briefly prior to opening vial. For short-term storage (1-2 weeks), store at 4ºC. For long-term storage, aliquot and store at -20ºC or below. Avoid multiple freeze-thaw cycles.
- 克隆性:
Monoclonal
- 标记物:
Unconjugated
- 适应物种:
Human
- 保质期:
12 months from the shipping date of the product.
- 抗原来源:
Human
- 目录编号:
GTX83223
- 级别:
Primary Antibodies
- 库存:
Available
- 供应商:
GeneTex
- 宿主:
Mouse
- 应用范围:
ICC/IF, IHC-P, ELISA
- 靶点:
Inhibin alpha
- 抗体英文名:
Inhibin alpha antibody [4A2]
- 抗体名:
Inhibin alpha 抗体 [4A2]
- 规格:
100 μl
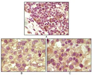
IHC-P analysis of human lymphoid (A), ovary tumor (B) and testicle tumor (C) tissue using GTX83223 Inhibin alpha antibody [4A2].
ICC/IF analysis of HeLa cells using GTX83223 Inhibin alpha antibody [4A2].
Green : Inhibin alpha
Blue: DRAQ5 fluorescent DNA dye
Red: Actin filaments
风险提示:丁香通仅作为第三方平台,为商家信息发布提供平台空间。用户咨询产品时请注意保护个人信息及财产安全,合理判断,谨慎选购商品,商家和用户对交易行为负责。对于医疗器械类产品,请先查证核实企业经营资质和医疗器械产品注册证情况。
文献和实验In situ hybridisation to alpha satellite sequences (chromosome specific)
Alpha satellite sequences, whilst highly repetitive, are specific to each individual chromosome. These sequences flank the centromeres and can present a target measured in megabases. In this protocol a biotin or digoxigenin labelled DNA
上海西唐生物科技有限公司 021-55229872, 65333639 www.westang.com 人抑制素B ( Inhibin B )ELISA 试剂盒 ( 用于血清、血浆、细胞培养上清液和其它生物体液内 ) 原理 本实验采用双抗体夹心 ABC-ELISA 法。用抗人 Inhibin B 单抗包被于酶标板上,标准品和样品中的 Inhibin B与单抗结合
上海西唐生物科技有限公司 021-55229872, 65333639 www.westang.com 小鼠抑制素A ( Inhibin A )ELISA 试剂盒 ( 用于血清、血浆、细胞培养上清液和其它生物体液内 ) 原理 本实验采用双抗体夹心 ABC-ELISA 法。用抗小鼠 Inhibin A 单抗包被于酶标板上,标准品和样品中的 Inhibin A与单抗
技术资料暂无技术资料 索取技术资料







![FGF2 antibody [2H5G2C11]](https://img1.dxycdn.com/2023/0711/451/6106825198874858761-14.jpg!wh200)

