相关产品推荐更多 >
万千商家帮你免费找货
0 人在求购买到急需产品
- 详细信息
- 文献和实验
- 技术资料
- 免疫原:
Purified recombinant fragment of human CD-10 expressed in E. Coli.
- 亚型:
IgG2b
- 形态:
Liquid
- 保存条件:
Store as concentrated solution. Centrifuge briefly prior to opening vial. For short-term storage (1-2 weeks), store at 4ºC. For long-term storage, aliquot and store at -20ºC or below. Avoid multiple freeze-thaw cycles.
- 克隆性:
Monoclonal
- 标记物:
Unconjugated
- 适应物种:
Human
- 保质期:
12 months from the shipping date of the product.
- 抗原来源:
Human
- 目录编号:
GTX83393
- 级别:
Primary Antibodies
- 库存:
Available
- 供应商:
GeneTex
- 宿主:
Mouse
- 应用范围:
IHC-P, ELISA
- 靶点:
CD10
- 抗体英文名:
CD10 antibody [2A1H5E1]
- 抗体名:
CD10 抗体 [2A1H5E1]
- 规格:
100 μl
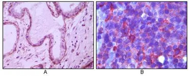
IHC-P analysis of human breast ductal myoepithelium (A) and lymph tissue (B using GTX83393 CD10 antibody [2A1H5E1].
风险提示:丁香通仅作为第三方平台,为商家信息发布提供平台空间。用户咨询产品时请注意保护个人信息及财产安全,合理判断,谨慎选购商品,商家和用户对交易行为负责。对于医疗器械类产品,请先查证核实企业经营资质和医疗器械产品注册证情况。
文献和实验of patients with open heart surgery the expression of the membrane peptidases neprilysin/CD10 and aminopeptidase N/CD13, was determined on granulocytes in comparison to the monocytic HLA-DR expression. We used the QuantiBRITE™ flow cytometry
secondary antibody review -- data from 99 publications
cytometry used as a control to detect cell responses targeted antigen 7 Alexa Fluor 488 7 Cy3 8 goat IgG Alexa Fluor 488 1:2000 detect antibody binding in human embryonic kidney 293T cells Invitrogen 9 donkey
Studies of the Ubiquitin Proteasome System
; appendix 2A ; optional) 30 µM ubiquitin aldehyde (Calbiochem, Boston Biochem, or BioMol) in 1 M HEPES, pH 8.0 E1: rabbit (Calbiochem, Boston Biochem, Affiniti,), bacterially expressed wheat E1 ( protocol
技术资料暂无技术资料 索取技术资料






![EpCAM antibody [HL1524]](https://img1.dxycdn.com/2023/0711/058/8406876405285858761-14.jpg!wh200)
![IL1 Receptor antagonist antibody [005]](https://img1.dxycdn.com/2023/0711/451/6106825198874858761-14.jpg!wh200)


