相关产品推荐更多 >
万千商家帮你免费找货
0 人在求购买到急需产品
- 详细信息
- 文献和实验
- 技术资料
- 免疫原:
Purified recombinant fragment of human STAT3 expressed in E. Coli.
- 亚型:
IgG1
- 形态:
Liquid
- 保存条件:
Store as concentrated solution. Centrifuge briefly prior to opening vial. For short-term storage (1-2 weeks), store at 4ºC. For long-term storage, aliquot and store at -20ºC or below. Avoid multiple freeze-thaw cycles.
- 克隆性:
Monoclonal
- 标记物:
Unconjugated
- 适应物种:
Human, Mouse, Rat, Monkey
- 保质期:
12 months from the shipping date of the product.
- 抗原来源:
Human
- 目录编号:
GTX82752
- 级别:
Primary Antibodies
- 库存:
Available
- 供应商:
GeneTex
- 宿主:
Mouse
- 应用范围:
WB, ICC/IF, IHC-P, ELISA
- 靶点:
STAT3
- 抗体英文名:
STAT3 antibody [3B5]
- 抗体名:
STAT3 抗体 [3B5]
- 规格:
100 μl
WB analysis of HeLa (1),NIH3T3 (2), Jurkat (3), PC-12 (4) and COS7 (5) cell lysate using GTX82752 STAT3 antibody [3B5].
ICC/IF analysis of HeLa cells using GTX82752 STAT3 antibody [3B5].
Green : STAT3
Blue: DRAQ5 fluorescent DNA dye
Red: Actin filaments
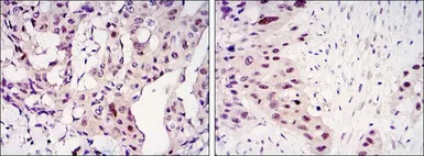
IHC-P analysis of mammary cancer tissue (left) and lung cancer tissue (right) using GTX82752 STAT3 antibody [3B5].
风险提示:丁香通仅作为第三方平台,为商家信息发布提供平台空间。用户咨询产品时请注意保护个人信息及财产安全,合理判断,谨慎选购商品,商家和用户对交易行为负责。对于医疗器械类产品,请先查证核实企业经营资质和医疗器械产品注册证情况。
文献和实验liudengchang 大家好,有谁用过Bioworld Technology 生产的p-STAT3 (Y705) antibody 或p-STAT3 (S727) antibody 做Western和免疫细胞化学效果怎样?谢谢 磷酸化抗体 您好,我公司有p-STAT3 (Y705)抗体,请看下面链接: http://www.zkbiotech.com/products_show.asp?id=126 联系
祝贺〖雅裕睿安〗成为Signalway Antibody(SAB)独家
祝贺〖上海雅裕 〗成为 Signalway Antibody 品牌 (SAB) 的独家总代理。 促销【 ABCD 】细则如下: 【 A 】 买两支 SAB 抗体免费获得 8G 优盘 活动时间:即日起,至 2011 年
相关专题 白介素21在自体免疫 和癌症中扮演的角色。Role of IL-21 in autoimmunity and cancer. IL-21 is involved in reciprocal cross talk between disparate cell types, leading to effects on innate immune responses and adaptive antibody
技术资料暂无技术资料 索取技术资料






![beta Actin antibody [8H10D10]](https://img1.dxycdn.com/2023/0711/451/6106825198874858761-14.jpg!wh200)

![CD22 antibody [OX-96] (PE)](https://custom.dxycdn.com/trademd/upload/pic/2011/12/14/1323695851.jpg!small.t.1)

