相关产品推荐更多 >
万千商家帮你免费找货
0 人在求购买到急需产品
- 详细信息
- 文献和实验
- 技术资料
- 免疫原:
Purified recombinant fragment of human ERBB2(aa750-987) expressed in E. Coli.
- 亚型:
IgG1
- 形态:
Liquid
- 保存条件:
Store as concentrated solution. Centrifuge briefly prior to opening vial. For short-term storage (1-2 weeks), store at 4ºC. For long-term storage, aliquot and store at -20ºC or below. Avoid multiple freeze-thaw cycles.
- 克隆性:
Monoclonal
- 标记物:
Unconjugated
- 适应物种:
Human
- 保质期:
12 months from the shipping date of the product.
- 抗原来源:
Human
- 目录编号:
GTX82764
- 级别:
Primary Antibodies
- 库存:
Available
- 供应商:
GeneTex
- 宿主:
Mouse
- 应用范围:
WB, ICC/IF, IHC-P, FACS, ELISA
- 靶点:
Her2 / ErbB2
- 抗体英文名:
Her2 / ErbB2 antibody [6C2]
- 抗体名:
Her2 / ErbB2 抗体 [6C2]
- 规格:
100 μl
FACS analysis of MCF-7 cells using GTX82764 Her2 / ErbB2 antibody [6C2].
Green : Her2 / ErbB2
Purple : negative control
WB analysis of SKBR3 (1) and MCF-7 (2) cell lysate using GTX82764 Her2 / ErbB2 antibody [6C2].
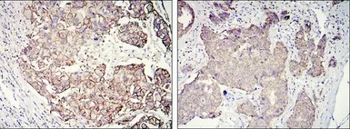
IHC-P analysis of galactophore tumour using GTX82764 Her2 / ErbB2 antibody [6C2].
风险提示:丁香通仅作为第三方平台,为商家信息发布提供平台空间。用户咨询产品时请注意保护个人信息及财产安全,合理判断,谨慎选购商品,商家和用户对交易行为负责。对于医疗器械类产品,请先查证核实企业经营资质和医疗器械产品注册证情况。
文献和实验祝贺〖雅裕睿安〗成为Signalway Antibody(SAB)独家
antibody unconjugated; 货号21337,产品描述:GAPDH Antibody;规格 50 ul / 100 ul; 货号3052,产品描述:Rabbit anti-Human IgG secondary antibody HRP conjugated; 货号300904050,产品描述:One-Hour Western kit,10 ml / bottle x 3;
物-人表皮生长因子受体-2(HER2,也称 Neu 或 ERBB2)为例,临床上 Her2 的检测多采用免疫组织化学法检测其表达水平,也是决定要不要使用标靶治疗的依据之一。GTX100509 HER2/ERBB2 抗体使用 2 个不同来源的抗体进行比较(如下),确认有一致性的染色图谱,而 GTX100509 灵敏度甚至比其他厂家来的更高。3. 免疫捕获及质谱分析官兵抓强盗,敌友谁知道,预知此名号,捉拿验证号。将免疫捕获的目标蛋白进行质谱分析,可确认捕获的蛋白身份是否为目标蛋白,以此确认抗体是否辨识到对的蛋白
number of genes (including ERBB2 , ERBB3 , VEGF , and EPO 5-8 ). However, rational design has not always yielded functional regulators in vivo , mainly because knowledge of both regulatory areas and of endogenous factors affecting transcription factor�DNA
技术资料暂无技术资料 索取技术资料







![Carbonic Anhydrase II antibody [001]](https://img1.dxycdn.com/2023/0711/451/6106825198874858761-14.jpg!wh200)

