相关产品推荐更多 >
万千商家帮你免费找货
0 人在求购买到急需产品
- 详细信息
- 文献和实验
- 技术资料
- 免疫原:
Purified recombinant fragment of human WIF1 expressed in E. Coli.
- 亚型:
IgG1
- 形态:
Liquid
- 保存条件:
Store as concentrated solution. Centrifuge briefly prior to opening vial. For short-term storage (1-2 weeks), store at 4ºC. For long-term storage, aliquot and store at -20ºC or below. Avoid multiple freeze-thaw cycles.
- 克隆性:
Monoclonal
- 标记物:
Unconjugated
- 适应物种:
Human, Mouse
- 保质期:
12 months from the shipping date of the product.
- 抗原来源:
Human
- 目录编号:
GTX82765
- 级别:
Primary Antibodies
- 库存:
Available
- 供应商:
GeneTex
- 宿主:
Mouse
- 应用范围:
WB, ICC/IF, IHC-P, ELISA
- 靶点:
WIF1
- 抗体英文名:
WIF1 antibody [1G5]
- 抗体名:
WIF1 抗体 [1G5]
- 规格:
100 μl
ICC/IF analysis of HeLa cells using GTX82765 WIF1 antibody [1G5].
Green : WIF1
Red: Actin filaments
WB analysis of HeLa (1), NIH3T3 (2) and NTERA-2 (3) cell lysate using GTX82765 WIF1 antibody [1G5].
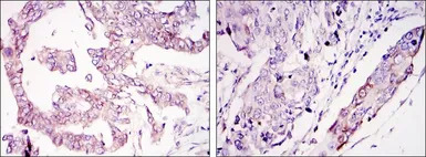
IHC-P analysis of ovary tumour tissue (left) and lung cancer (right) using GTX82765 WIF1 antibody [1G5].
风险提示:丁香通仅作为第三方平台,为商家信息发布提供平台空间。用户咨询产品时请注意保护个人信息及财产安全,合理判断,谨慎选购商品,商家和用户对交易行为负责。对于医疗器械类产品,请先查证核实企业经营资质和医疗器械产品注册证情况。
文献和实验Zhang K et al., Mol Cancer 2018 (PMID:30348169)
三句话读懂一篇 CNS,NEJM 报道首次发现癌症母婴传播;基因治疗屡获突破;绘制哺乳动物祖先的基因图谱...
: 揭示靶向 NS1 的黄病毒广谱保护性抗体作用机制 2021 年 1 月 8 日,中国科学院微生物研究所 / 中国科学院北京生命科学研究院高福院士团队、中国科学院微生物所施一团队与澳大利亚昆士兰大学的 Paul R. Young 及 Daniel Watterson 团队联合在 Science 杂志发表了论文 A broadly protective antibody that targets the flavivirus NS1 protein, 研究结果发现了一株对多种黄病毒(登革病毒、西尼
技术资料暂无技术资料 索取技术资料





![CD86 antibody [BU63] (FITC)](https://custom.dxycdn.com/trademd/upload/pic/2011/12/14/1323695845.jpg!small.t.1)


![C Reactive Protein antibody [5A9]](https://img1.dxycdn.com/2023/0711/451/6106825198874858761-14.jpg!wh200)

