相关产品推荐更多 >
万千商家帮你免费找货
0 人在求购买到急需产品
- 详细信息
- 文献和实验
- 技术资料
- 免疫原:
Purified recombinant fragment of human CD69 expressed in E. Coli.
- 亚型:
IgG1
- 形态:
Liquid
- 保存条件:
Store as concentrated solution. Centrifuge briefly prior to opening vial. For short-term storage (1-2 weeks), store at 4ºC. For long-term storage, aliquot and store at -20ºC or below. Avoid multiple freeze-thaw cycles.
- 克隆性:
Monoclonal
- 标记物:
Unconjugated
- 适应物种:
Human
- 保质期:
12 months from the shipping date of the product.
- 抗原来源:
Human
- 目录编号:
GTX83000
- 级别:
Primary Antibodies
- 库存:
Available
- 供应商:
GeneTex
- 宿主:
Mouse
- 应用范围:
WB, IHC-P, FACS, ELISA
- 靶点:
CD69
- 抗体英文名:
CD69 antibody [8B6]
- 抗体名:
CD69 抗体 [8B6]
- 规格:
100 μl
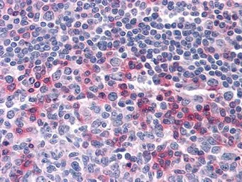
IHC-P analysis of human Tonsil tissue using GTX83000 CD69 antibody [8B6].
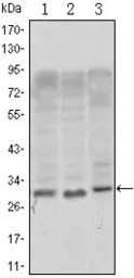
WB analysis of Jurkat (1), L1210 (2) and THP-1 (3) cell lysate using GTX83000 CD69 antibody [8B6].
FACS analysis of Jurkat cells using GTX83000 CD69 antibody [8B6].
Green : CD69
Purple : negative control
风险提示:丁香通仅作为第三方平台,为商家信息发布提供平台空间。用户咨询产品时请注意保护个人信息及财产安全,合理判断,谨慎选购商品,商家和用户对交易行为负责。对于医疗器械类产品,请先查证核实企业经营资质和医疗器械产品注册证情况。
文献和实验下游分析。 3、实验结果 以下实验结果是分选得到 T 淋巴细胞后进行的刺激,在此特别感谢德国 IBA Lifesciences 提供的内部实验数据以及详细实验步骤。 图:小鼠脾脏 T 淋巴细胞扩增至 3 天时,显微镜下观察细胞克隆团的形成 图:小鼠脾脏 T 淋巴细胞扩增过程中,通过流式细胞术实时检测 T 细胞激活 marker CD25、CD69 的表达变化情况 相关关键试剂 CD3/CD28 抗体法: 货号 名称 厂家
技术资料暂无技术资料 索取技术资料






![SIN1 antibody [N3C3]](https://custom.dxycdn.com/trademd/upload/pic/2011/12/14/1323695848.jpg!small.t.1)

![PAPP A antibody [3C8]](https://img1.dxycdn.com/2023/0711/451/6106825198874858761-14.jpg!wh200)

