相关产品推荐更多 >
万千商家帮你免费找货
0 人在求购买到急需产品
- 详细信息
- 文献和实验
- 技术资料
- 免疫原:
Purified recombinant fragment of APOA4 (aa21-396) expressed in E. Coli.
- 亚型:
IgG1
- 形态:
Liquid
- 保存条件:
Store as concentrated solution. Centrifuge briefly prior to opening vial. For short-term storage (1-2 weeks), store at 4ºC. For long-term storage, aliquot and store at -20ºC or below. Avoid multiple freeze-thaw cycles.
- 克隆性:
Monoclonal
- 标记物:
Unconjugated
- 适应物种:
Human
- 保质期:
12 months from the shipping date of the product.
- 抗原来源:
Human
- 目录编号:
GTX83014
- 级别:
Primary Antibodies
- 库存:
Available
- 供应商:
GeneTex
- 宿主:
Mouse
- 应用范围:
WB, ELISA
- 靶点:
Apolipoprotein A4
- 抗体英文名:
Apolipoprotein A4 antibody [2D1C9]
- 抗体名:
Apolipoprotein A4 抗体 [2D1C9]
- 规格:
100 μl
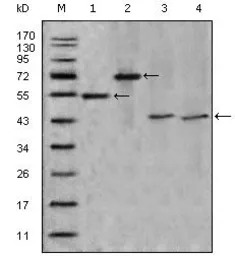
WB analysis of truncated APOA4-His recombinant protein (1),truncated APOA4(aa21-396)-hIgGFc transfected CHO-K1 cell lysate(2),human serum (3) and human plasma (4) using GTX83014 Apolipoprotein A4 antibody [2D1C9].
风险提示:丁香通仅作为第三方平台,为商家信息发布提供平台空间。用户咨询产品时请注意保护个人信息及财产安全,合理判断,谨慎选购商品,商家和用户对交易行为负责。对于医疗器械类产品,请先查证核实企业经营资质和医疗器械产品注册证情况。
文献和实验人整合素a4b1(Integrin a4b1)ELISA试剂盒 说明书
第一抗体工作液( Biotinylated Antibody ) 12ml 终止液 (Stop Solution ) 12ml 准备试剂与收集血样 1. 收集标本:血清、血浆(EDTA )、细胞培养上清液、组织匀浆等尽早检测, 2-8 ℃ 保存48 小时;更长时间须
补体成分 C6/C7/C8/C9 补体成分:C6 血清浓度(μg/ml):60 分子量(kDa):128 亚单位(链)及分子量(kDa):1条 生物学活性:组成MAC,触发淋巴细胞母细胞化 补体成分:C7 血清浓度(μg/ml):60 分子量(kDa):121 亚单位(链)及分子量(kDa):1条
上海西唐生物科技有限公司 021-55229872, 65333639 www.westang.com 大鼠脂氧素 A4(LXA4)ELISA 试剂盒 ( 用于血清、血浆、细胞培养上清液和其它生物体液内 ) 原理 本实验采用双抗体夹心 ABC-ELISA 法。用抗大鼠 LXA4/ Lipoxin A4 单抗包被于酶标板上,标准品和样品中的 LXA4 与单抗结合,加入生物素化的抗大鼠 LXA4 ,形成
技术资料暂无技术资料 索取技术资料







![Yersinia pestis F1 antigen antibody [6031]](https://img1.dxycdn.com/2023/0516/050/2572066211091928561-14.jpg!wh200)
![Tyrosine Hydroxylase antibody [1B5]](https://img1.dxycdn.com/2023/0711/451/6106825198874858761-14.jpg!wh200)
![TAAR5 antibody [C2C3], C-term](https://img1.dxycdn.com/2023/0516/045/6925717576889828561-14.jpg!wh200)

