相关产品推荐更多 >
万千商家帮你免费找货
0 人在求购买到急需产品
- 详细信息
- 文献和实验
- 技术资料
- 免疫原:
Purified recombinant fragment of CK5 expressed in E. Coli.
- 亚型:
IgG1
- 形态:
Liquid
- 保存条件:
Store as concentrated solution. Centrifuge briefly prior to opening vial. For short-term storage (1-2 weeks), store at 4ºC. For long-term storage, aliquot and store at -20ºC or below. Avoid multiple freeze-thaw cycles.
- 克隆性:
Monoclonal
- 标记物:
Unconjugated
- 适应物种:
Human
- 保质期:
12 months from the shipping date of the product.
- 抗原来源:
Human
- 目录编号:
GTX83079
- 级别:
Primary Antibodies
- 库存:
Available
- 供应商:
GeneTex
- 宿主:
Mouse
- 应用范围:
WB, ICC/IF, IHC-P, ELISA
- 靶点:
pan Cytokeratin
- 抗体英文名:
pan Cytokeratin antibody [7H8C4]
- 抗体名:
pan Cytokeratin 抗体 [7H8C4]
- 规格:
100 μl
ICC/IF analysis of methanol-fixed Eca-109 (left) and HepG2 (right) cells using GTX83079 pan Cytokeratin antibody [7H8C4].
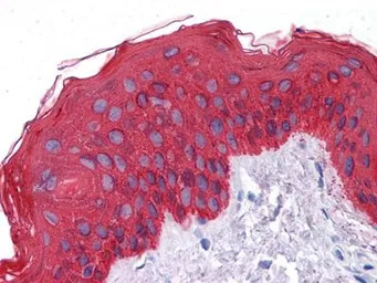
IHC-P analysis of human skin tissue using GTX83079 pan Cytokeratin antibody [7H8C4].
WB analysis of truncated Cytokeratin 5 recombinant protein using GTX83079 pan Cytokeratin antibody [7H8C4].
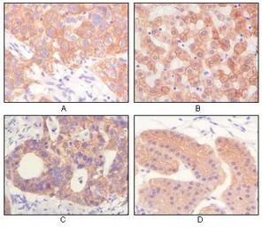
IHC-P analysis of human lung squamous cell carcinoma (A),normal hepatocyte (B), colon adenocacinoma, normal stomach tissue (D) using GTX83079 pan Cytokeratin antibody [7H8C4].
风险提示:丁香通仅作为第三方平台,为商家信息发布提供平台空间。用户咨询产品时请注意保护个人信息及财产安全,合理判断,谨慎选购商品,商家和用户对交易行为负责。对于医疗器械类产品,请先查证核实企业经营资质和医疗器械产品注册证情况。
文献和实验补体成分 C4(C4a/C4b) 补体成分:C4 血清浓度(μg/ml):200~500 分子量(kDa):210 亚单位(链)及分子量(kDa):α:90β:78γ:33 激活产物:C4a;C4b 生物学活性:C4a 弱的过敏毒素作用 C4b 组成CP中的C3、C5转化
上海西唐生物科技有限公司 021-55229872, 65333639 www.westang.com 大鼠补体 C4(C4)ELISA 试剂盒 ( 用于血清、血浆、细胞培养上清液和尿液生物体液内 ) 原理 本实验采用双抗体夹心 ABC-ELISA 法。用抗大鼠 C4 单抗包被于酶标板上,标准品和样品中的 C4 与单抗结合,加入生物素化的抗大鼠 C4 ,形成免疫复合物连接在板上,辣根
Evaluation of Complement-Dependent Cytotoxicity Using ATP Measurement and C1q/C4b Binding
method to evaluate the binding of C1q on the Fc region and the binding of C4b on cell surface. The luminescence method coupled with complement protein analysis by flow cytometry encompasses all needed methods to evaluate antibody ability to trigger CDC.
技术资料暂无技术资料 索取技术资料






![Ribophorin I antibody [C2C3], C-term](https://img1.dxycdn.com/2023/0516/895/8887749495766728561-14.jpg!wh200)


