相关产品推荐更多 >
万千商家帮你免费找货
0 人在求购买到急需产品
- 详细信息
- 文献和实验
- 技术资料
- 免疫原:
Purified recombinant fragment of human LPP expressed in E. Coli.
- 亚型:
IgG1
- 形态:
Liquid
- 保存条件:
Store as concentrated solution. Centrifuge briefly prior to opening vial. For short-term storage (1-2 weeks), store at 4ºC. For long-term storage, aliquot and store at -20ºC or below. Avoid multiple freeze-thaw cycles.
- 克隆性:
Monoclonal
- 标记物:
Unconjugated
- 适应物种:
Human, Mouse, Hamster, Monkey
- 保质期:
12 months from the shipping date of the product.
- 抗原来源:
Human
- 目录编号:
GTX83092
- 级别:
Primary Antibodies
- 库存:
Available
- 供应商:
GeneTex
- 宿主:
Mouse
- 应用范围:
WB, ICC/IF, IHC-P, ELISA
- 靶点:
LPP
- 抗体英文名:
LPP antibody [8B3A11]
- 抗体名:
LPP 抗体 [8B3A11]
- 规格:
100 μl
WB analysis of HeLa (1), NIH3T3 (2), COS (3), Caki (4), MCF-7 (5), HepG2 (6) and SMMC-7721 (7) cell lysate using GTX83092 LPP antibody [8B3A11].
ICC/IF analysis of COS cells using GTX83092 LPP antibody [8B3A11].
Green : LPP
Blue: DRAQ5 fluorescent DNA dye
Red: Actin filaments
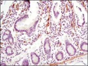
IHC-P analysis of human small intestine using GTX83092 LPP antibody [8B3A11].
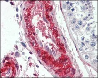
IHC-P analysis of human vessels tissue using GTX83092 LPP antibody [8B3A11].
ICC/IF analysis of HeLa cells using GTX83092 LPP antibody [8B3A11].
Green : LPP
Blue: DRAQ5 fluorescent DNA dye
Red: Actin filaments
风险提示:丁香通仅作为第三方平台,为商家信息发布提供平台空间。用户咨询产品时请注意保护个人信息及财产安全,合理判断,谨慎选购商品,商家和用户对交易行为负责。对于医疗器械类产品,请先查证核实企业经营资质和医疗器械产品注册证情况。
文献和实验Cloning and Expression of Single-Chain Fragments (scFv) from Mouse and Rat Hybridomas
For cloning and expressing the antigen-binding variable (Fv) portion of an antibody in Escherzchia coli , vectors have been constructed that combine the two variable regions (VH and VL ) with a peptide linker (1 –3 ). The genetic
/tVLxTCiLlhaKFimCJ0+fxlMz9W4Le5J9e/fizJkzEmN/P39oammiRImSaNO2DXr26pX+PW3IZdfj/Su8/eKFYE0dGBQ1gUEOcTTDhQmkPgHWfKT+HqTrGcg8b8HyCIVCKtIBqg43cO1F6HJ8TYvSochj7DzohO6TSkQyPNWGfh7NiA9AFQ1koXdhVr18kRJjKUNTm36aBfsjKMxPU+q2IKqX04kUcEkLhauRO+qu93j+JQAdy4/B8cPpB6fwCrG1tcXZUydw
BioID: A Screen for Protein‐Protein Interactions
anti‐BirA ab14002 (Abcam) Secondary antibodies to detect chosen primary antibody (Alexa Fluor form and HRP‐conjugated form
技术资料暂无技术资料 索取技术资料






![Muscle Actin antibody [1A4+5C5]](https://img1.dxycdn.com/2023/0711/451/6106825198874858761-14.jpg!wh200)



