相关产品推荐更多 >
万千商家帮你免费找货
0 人在求购买到急需产品
- 详细信息
- 文献和实验
- 技术资料
- 免疫原:
Purified recombinant fragment of CD45 expressed in E. Coli.
- 亚型:
IgG1
- 形态:
Liquid
- 保存条件:
Store as concentrated solution. Centrifuge briefly prior to opening vial. For short-term storage (1-2 weeks), store at 4ºC. For long-term storage, aliquot and store at -20ºC or below. Avoid multiple freeze-thaw cycles.
- 克隆性:
Monoclonal
- 标记物:
Unconjugated
- 适应物种:
Human
- 保质期:
12 months from the shipping date of the product.
- 抗原来源:
Human
- 目录编号:
GTX83098
- 级别:
Primary Antibodies
- 库存:
Available
- 供应商:
GeneTex
- 宿主:
Mouse
- 应用范围:
WB, IHC-P, ELISA
- 靶点:
CD45
- 抗体英文名:
CD45 antibody [4A8A4C7A2]
- 抗体名:
CD45 抗体 [4A8A4C7A2]
- 规格:
100 μl
WB analysis of truncated CD45 recombinant protein using GTX83098 CD45 antibody [4A8A4C7A2].
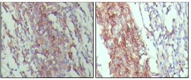
IHC-P analysis of human lymph node tissue using GTX83098 CD45 antibody [4A8A4C7A2].
风险提示:丁香通仅作为第三方平台,为商家信息发布提供平台空间。用户咨询产品时请注意保护个人信息及财产安全,合理判断,谨慎选购商品,商家和用户对交易行为负责。对于医疗器械类产品,请先查证核实企业经营资质和医疗器械产品注册证情况。
文献和实验CD45/CD45RA/CD45RB/CD45RC/CD45RO
CD45/CD45RA/CD45RB/CD45RC/CD45RO CD45 常用单克隆抗体或代号: T29/33,BMAC1;(T200,B220) 主要表达细胞: Leu [NL] 分子质量(kDa)和结构: gp180- 240,白细胞共同抗原(LCA) 功 能: PTP酶,调节信号传导 CD45RA 常用单克隆抗体或代号: G1- 15,F8- 11- 13,Leu18,2H4;(限制性LCA) 主要表达细胞: Tsub,B,G,M
on the exterior of the virion for biochemical studies, a CD45 immunoaffinity depletion procedure that removes vesicles by capture with antibody-linked microbeads is employed. These methods allow for the isolation of highly purified virion preparations
Flow Cytometric Measurement of Functional and Phenotypic P-Glycoprotein
rhodamine 123, an assay for daunorubicin accumulation, and an assay to measure P-glycoprotein levels using the MRK16 antibody. Our protocols include the use of an anti-CD45 antibody for the identification of leukemic blasts. The protocols described
技术资料暂无技术资料 索取技术资料





![G6PD antibody [N2C1], Internal](https://img1.dxycdn.com/2023/0711/255/2344116916935858761-14.jpg!wh200)

![GRIK3 antibody [C3], C-term](https://img1.dxycdn.com/2023/0516/045/6925717576889828561-14.jpg!wh200)
![HLA-DR + HLA-DP antibody [MEM-136] (Biotin)](https://img1.dxycdn.com/2023/0711/451/6106825198874858761-14.jpg!wh200)

