相关产品推荐更多 >
万千商家帮你免费找货
0 人在求购买到急需产品
- 详细信息
- 文献和实验
- 技术资料
- 免疫原:
Purified recombinant fragment of human FMRP expressed in E. Coli.
- 亚型:
IgG1
- 形态:
Liquid
- 保存条件:
Store as concentrated solution. Centrifuge briefly prior to opening vial. For short-term storage (1-2 weeks), store at 4ºC. For long-term storage, aliquot and store at -20ºC or below. Avoid multiple freeze-thaw cycles.
- 克隆性:
Monoclonal
- 标记物:
Unconjugated
- 适应物种:
Human, Mouse
- 保质期:
12 months from the shipping date of the product.
- 抗原来源:
Human
- 目录编号:
GTX83130
- 级别:
Primary Antibodies
- 库存:
Available
- 供应商:
GeneTex
- 宿主:
Mouse
- 应用范围:
WB, ICC/IF, IHC-P, ELISA
- 靶点:
FMRP
- 抗体英文名:
FMRP antibody [4G9]
- 抗体名:
FMRP 抗体 [4G9]
- 规格:
100 μl
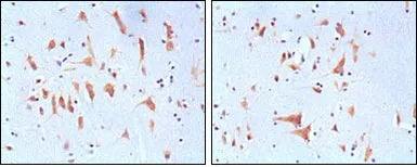
IHC-P analysis of human brain tissue using GTX83130 FMRP antibody [4G9].
WB analysis of Jurkat (1) and K562 (2) cell lysate using GTX83130 FMRP antibody [4G9].
ICC/IF analysis of NIH3T3 cells using GTX83130 FMRP antibody [4G9].
Green : FMRP
Blue: DRAQ5 fluorescent DNA dye
Red: Actin filaments
风险提示:丁香通仅作为第三方平台,为商家信息发布提供平台空间。用户咨询产品时请注意保护个人信息及财产安全,合理判断,谨慎选购商品,商家和用户对交易行为负责。对于医疗器械类产品,请先查证核实企业经营资质和医疗器械产品注册证情况。
文献和实验【共享】Methods in molecular biology 下载
://mihd.net/9sd6uy Vol 45 Monoclonal Antibody Protocols http://rapidshare.com/files/10764903/045-monoclonal_antibody_protocols.pdf Vol 46 Diagnostic Bacteriology Protocols http://rapidshare.com/files/10765237/046-Diagnostic_Bacteriology_Protocols
技术资料暂无技术资料 索取技术资料








![BMAL1 antibody [1C5]](https://img1.dxycdn.com/2023/0711/451/6106825198874858761-14.jpg!wh200)

