相关产品推荐更多 >
万千商家帮你免费找货
0 人在求购买到急需产品
- 详细信息
- 文献和实验
- 技术资料
- 免疫原:
Purified recombinant fragment of ApoO expressed in E. Coli.
- 亚型:
IgG1
- 形态:
Liquid
- 保存条件:
Store as concentrated solution. Centrifuge briefly prior to opening vial. For short-term storage (1-2 weeks), store at 4ºC. For long-term storage, aliquot and store at -20ºC or below. Avoid multiple freeze-thaw cycles.
- 克隆性:
Monoclonal
- 标记物:
Unconjugated
- 适应物种:
Human, Mouse
- 保质期:
12 months from the shipping date of the product.
- 抗原来源:
Human
- 目录编号:
GTX83136
- 级别:
Primary Antibodies
- 库存:
Available
- 供应商:
GeneTex
- 宿主:
Mouse
- 应用范围:
WB, IHC-P, ELISA
- 靶点:
Apolipoprotein O
- 抗体英文名:
Apolipoprotein O antibody [2F1]
- 抗体名:
Apolipoprotein O 抗体 [2F1]
- 规格:
100 μl
WB analysis of HepG2 (1) and 3T3L1(2) cell lysate using GTX83136 Apolipoprotein O antibody [2F1].
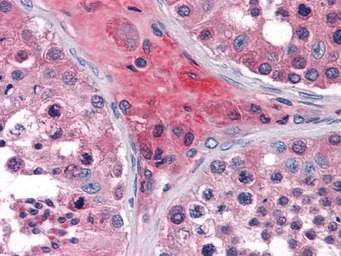
IHC-P analysis of human Testis tissue using GTX83136 Apolipoprotein O antibody [2F1].
风险提示:丁香通仅作为第三方平台,为商家信息发布提供平台空间。用户咨询产品时请注意保护个人信息及财产安全,合理判断,谨慎选购商品,商家和用户对交易行为负责。对于医疗器械类产品,请先查证核实企业经营资质和医疗器械产品注册证情况。
文献和实验人转录因子E2F1 ( E2F1 )ELISA 试剂盒 原理 本实验采用双抗体夹心 ABC-ELISA 法。用抗人 E2F1 单抗包被于酶标板上,标准品和样品中的 E2F1与单抗结合,加入生物素化的抗人 E2F1 ,形成免疫复合物连接在板上,辣根过氧化物酶标记的 Streptavidin 与生物素结合,加入底物工作液显蓝色,最后加终止液硫酸,在 450nm 处测 OD 值,E2F1 浓度与 OD 值成正比
8.0) in clean 16x125mm polypropylene test tube. If needed, adjust pH to 8.0 using 0.5M carbonate buffer. 2. Prepare fresh, 1mg/mL of either NHS-FITC in DMSO or 1mg/mL NHS-LC-Biotin in DH2O. If FITC coupling, add 75uL of FITC/DMSO solution to Antibody
seven times, or as often as necessary to decrease the background. Pellet cells. Save antibody supernatant, which is now diluted 1:5 from its initial concentration. These antibodies can be stored at 4o C for several weeks or at -70o C for longer periods
技术资料暂无技术资料 索取技术资料






![RCBTB1 antibody [N1C1-2]](https://img1.dxycdn.com/2023/0516/050/2572066211091928561-14.jpg!wh200)
![hGH antibody [090-12610]](https://custom.dxycdn.com/trademd/upload/pic/2011/12/14/1323695851.jpg!small.t.1)
![Dystrophin antibody [MANDYS8]](https://img1.dxycdn.com/2023/0711/451/6106825198874858761-14.jpg!wh200)

