相关产品推荐更多 >
万千商家帮你免费找货
0 人在求购买到急需产品
- 详细信息
- 文献和实验
- 技术资料
- 免疫原:
Purified recombinant fragment of human EGF expressed in E. Coli.
- 亚型:
IgG1
- 形态:
Liquid
- 保存条件:
Store as concentrated solution. Centrifuge briefly prior to opening vial. For short-term storage (1-2 weeks), store at 4ºC. For long-term storage, aliquot and store at -20ºC or below. Avoid multiple freeze-thaw cycles.
- 克隆性:
Monoclonal
- 标记物:
Unconjugated
- 适应物种:
Human
- 保质期:
12 months from the shipping date of the product.
- 抗原来源:
Human
- 目录编号:
GTX83138
- 级别:
Primary Antibodies
- 库存:
Available
- 供应商:
GeneTex
- 宿主:
Mouse
- 应用范围:
WB, IHC-P, ELISA
- 靶点:
EGF
- 抗体英文名:
EGF antibody [9D7F11]
- 抗体名:
EGF 抗体 [9D7F11]
- 规格:
100 μl
WB analysis of EGF-hIgGFc transfected HEK293 cell lysate using GTX83138 EGF antibody [9D7F11].
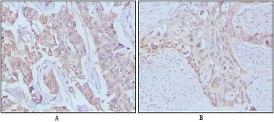
IHC-P analysis of human breast cancer(A), lung tissue(B) using GTX83138 EGF antibody [9D7F11].
IHC-P analysis of human Uterus tissue using GTX83138 EGF antibody [9D7F11].
风险提示:丁香通仅作为第三方平台,为商家信息发布提供平台空间。用户咨询产品时请注意保护个人信息及财产安全,合理判断,谨慎选购商品,商家和用户对交易行为负责。对于医疗器械类产品,请先查证核实企业经营资质和医疗器械产品注册证情况。
文献和实验purified and active EGF receptor. The technique described in this chapter utilizes immunoaffinity chromatography, which allows for the isolation of highly purified and active preparations of EGF receptor. By immobilizing an antibody
【翻译】Development trends for monoclonal antibody cancer therapeutics
). However, since 2000, humanized and human mAbs have been entering clinical study at approximately the same rate (4.3 versus 4.5 mAbs per year, respectively). Figure 1 | Categories of monoclonal antibody cancer therapeutics entering clinical study during 1980–1989
上海西唐生物科技有限公司 021-55229872, 65333639 www.westang.com 人表皮生长因子 ( EGF )ELISA 试剂盒 ( 用于血清、血浆、细胞培养上清液和尿液生物体液内 ) 原理 本实验采用双抗体夹心 ABC-ELISA 法。用抗人 EGF 单抗包被于酶标板上,标准品和样品中的 EGF与单抗结合,加入生物素化的抗人 EGF ,形成免疫复合
技术资料暂无技术资料 索取技术资料








![PSF3 antibody [N1C3]](https://img1.dxycdn.com/2023/0516/045/6925717576889828561-14.jpg!wh200)

