相关产品推荐更多 >
万千商家帮你免费找货
0 人在求购买到急需产品
- 详细信息
- 文献和实验
- 技术资料
- 免疫原:
Purified recombinant fragment of human KSHV ORF62 expressed in E. Coli.
- 亚型:
IgM
- 形态:
Liquid
- 保存条件:
Store as concentrated solution. Centrifuge briefly prior to opening vial. For short-term storage (1-2 weeks), store at 4ºC. For long-term storage, aliquot and store at -20ºC or below. Avoid multiple freeze-thaw cycles.
- 克隆性:
Monoclonal
- 标记物:
Unconjugated
- 适应物种:
Kaposi's sarcoma-associated herpesvirus
- 保质期:
12 months from the shipping date of the product.
- 抗原来源:
Kaposi's sarcoma-associated herpesvirus
- 目录编号:
GTX83235
- 级别:
Primary Antibodies
- 库存:
Available
- 供应商:
GeneTex
- 宿主:
Mouse
- 应用范围:
WB, ICC/IF, ELISA
- 靶点:
KSHV ORF62
- 抗体英文名:
KSHV ORF62 antibody [5B7B6]
- 抗体名:
KSHV ORF62 抗体 [5B7B6]
- 规格:
100 μl
WB analysis of KSHV ORF62 recombinant protein using GTX83235 KSHV ORF62 antibody [5B7B6].
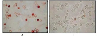
ICC/IF analysis of TPA induced BCBL-1 cells (A) and uninduced BCBL-1 cells (B) with AEC staining using GTX83235 KSHV ORF62 antibody [5B7B6].
风险提示:丁香通仅作为第三方平台,为商家信息发布提供平台空间。用户咨询产品时请注意保护个人信息及财产安全,合理判断,谨慎选购商品,商家和用户对交易行为负责。对于医疗器械类产品,请先查证核实企业经营资质和医疗器械产品注册证情况。
文献和实验人B7-H4 ( B7-H4 )ELISA 试剂盒 ( 用于血清、血浆、细胞培养上清液和尿液生物体液内 ) 原理 本实验采用双抗体夹心 ABC-ELISA 法。用抗人 B7-H4 单抗包被于酶标板上,标准品和样品中的 B7-H4与单抗结合,加入生物素化的抗人 B7-H4 ,形成免疫复合物连接在板上,辣根过氧化物酶标记的 Streptavidin 与生物素结合,加入底物工作液显蓝色,最后加终止
because: 1 Many of the heterologous anti-CYP2B antibody preparations are not useful owing to their slgmficant cross-reactivity with other human P450 enzymes; 2 A CYP2B6-specific chemical inhibitor has yet to be found; and 3 A dlagnostlc catalytic activity for human hepatlc mlcrosomal
secondary antibody review -- data from 99 publications
cytometry used as a control to detect cell responses targeted antigen 7 Alexa Fluor 488 7 Cy3 8 goat IgG Alexa Fluor 488 1:2000 detect antibody binding in human embryonic kidney 293T cells Invitrogen 9 donkey
技术资料暂无技术资料 索取技术资料






![PGD antibody [N1N3]](https://img1.dxycdn.com/2023/0516/045/6925717576889828561-14.jpg!wh200)
![PTPRH antibody [C2C3], C-term](https://img1.dxycdn.com/2023/0711/255/2344116916935858761-14.jpg!wh200)
![Albumin antibody [BGN/1328/33 (UA33)]](https://img1.dxycdn.com/2023/0711/451/6106825198874858761-14.jpg!wh200)


