相关产品推荐更多 >
万千商家帮你免费找货
0 人在求购买到急需产品
- 详细信息
- 文献和实验
- 技术资料
- 免疫原:
Purified recombinant fragment of human AKT2 expressed in E. Coli.
- 亚型:
IgG2b
- 形态:
Liquid
- 保存条件:
Store as concentrated solution. Centrifuge briefly prior to opening vial. For short-term storage (1-2 weeks), store at 4ºC. For long-term storage, aliquot and store at -20ºC or below. Avoid multiple freeze-thaw cycles.
- 克隆性:
Monoclonal
- 标记物:
Unconjugated
- 适应物种:
Human, Rat, Monkey
- 保质期:
12 months from the shipping date of the product.
- 抗原来源:
Human
- 目录编号:
GTX83257
- 级别:
Primary Antibodies
- 库存:
Available
- 供应商:
GeneTex
- 宿主:
Mouse
- 应用范围:
WB, ICC/IF, IHC-P, ELISA
- 靶点:
AKT2
- 抗体英文名:
AKT2 antibody [1B6]
- 抗体名:
AKT2 抗体 [1B6]
- 规格:
100 μl
WB analysis of A431 (1), Jurkat (2), HEK293 (3), A549 (4), MCF-7 (5) and PC-12 (6) cell lysate using GTX83257 AKT2 antibody [1B6].
ICC/IF analysis of PANC-1 (left) and HeLa (right) cells using GTX83257 AKT2 antibody [1B6].
Green : AKT2
Blue: DRAQ5 fluorescent DNA dye
Red: Actin filaments
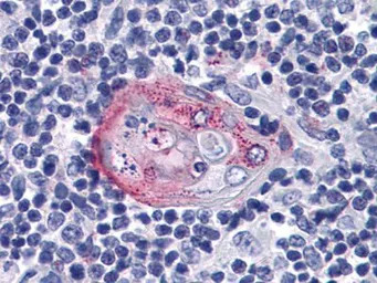
IHC-P analysis of human Thymus tissue using GTX83257 AKT2 antibody [1B6].
风险提示:丁香通仅作为第三方平台,为商家信息发布提供平台空间。用户咨询产品时请注意保护个人信息及财产安全,合理判断,谨慎选购商品,商家和用户对交易行为负责。对于医疗器械类产品,请先查证核实企业经营资质和医疗器械产品注册证情况。
文献和实验大小一致,具有特定的荧光强度,包被有适用于特定分析(如其它抗体或者可溶性蛋白)的特异性捕获抗体(Capture Antibody),提供了类似ELISA孔板的捕获表面。当微球和待测样品溶液混合后,微球上的特异性抗体就与样品(血清、血浆或者细胞培养液)中相应的抗原或蛋白结合,然后加入荧光标记的检测抗体,就会形成“三明治”夹心复合物。最后通过流式细胞仪对特异性目的蛋白进行检测。CBA的每种微球携带有不同强度的红色荧光,在流式细胞仪的FL3通道通过检测微球荧光强度的差异对目的蛋白定性;检测抗体带有PE
技术资料暂无技术资料 索取技术资料





![C11orf2 antibody [C1C3]](https://img1.dxycdn.com/2023/0711/255/2344116916935858761-14.jpg!wh200)
![GSTP1 antibody [3F2C2]](https://img1.dxycdn.com/2023/0711/451/6106825198874858761-14.jpg!wh200)



