相关产品推荐更多 >
万千商家帮你免费找货
0 人在求购买到急需产品
- 详细信息
- 文献和实验
- 技术资料
- 免疫原:
Purified recombinant fragment of human GSK3B expressed in E. Coli.
- 亚型:
IgG2a
- 形态:
Liquid
- 保存条件:
Store as concentrated solution. Centrifuge briefly prior to opening vial. For short-term storage (1-2 weeks), store at 4ºC. For long-term storage, aliquot and store at -20ºC or below. Avoid multiple freeze-thaw cycles.
- 克隆性:
Monoclonal
- 标记物:
Unconjugated
- 适应物种:
Human, Mouse, Rat, Monkey
- 保质期:
12 months from the shipping date of the product.
- 抗原来源:
Human
- 目录编号:
GTX83315
- 级别:
Primary Antibodies
- 库存:
Available
- 供应商:
GeneTex
- 宿主:
Mouse
- 应用范围:
WB, ICC/IF, IHC-P, FACS, ELISA
- 靶点:
GSK3 beta
- 抗体英文名:
GSK3 beta antibody [3D10]
- 抗体名:
GSK3 beta 抗体 [3D10]
- 规格:
100 μl
ICC/IF analysis of NIH3T3 (left) and U251 (right) cells using GTX83315 GSK3 beta antibody [3D10].
Green : GSK3 beta
Blue: DRAQ5 fluorescent DNA dye
Red: Actin filaments
FACS analysis of HeLa cells using GTX83315 GSK3 beta antibody [3D10].
Green : GSK3 beta
Purple : negative control
WB analysis of A549 (1), K562 (2), PC-12 (3), NIH3T3 (4), and HEK293 (5) cell lysate using GTX83315 GSK3 beta antibody [3D10].
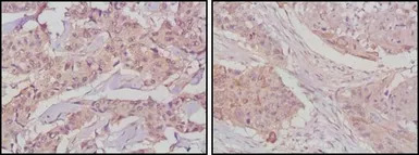
IHC-P analysis of human lung cancer (left) and breast cancer tissue (right) using GTX83315 GSK3 beta antibody [3D10].
风险提示:丁香通仅作为第三方平台,为商家信息发布提供平台空间。用户咨询产品时请注意保护个人信息及财产安全,合理判断,谨慎选购商品,商家和用户对交易行为负责。对于医疗器械类产品,请先查证核实企业经营资质和医疗器械产品注册证情况。
文献和实验Chien T et al., Mol Psychiatry 2018 (PMID:29298990)
Tang W et al., Int J Clin Exp Med 2015 (PMID:26131182)
真爱满行囊 我最近在体外细胞做的关于gsk3-beta功能问题,发现药物处理以后,gsk-3-beta的总表达量下调,如果是这样的话 1、我是否能够得出gsk-3-beta的活性下调的结论? 2、是否还有必要做非活性形式的表达量?我的理解是,基础状态下,gsk-3beta维持的是低活性状态,如果总量都下调了,那应该能够得出活性降低的结论了吧? 3、另外,在这种情况下我是否有必要去做gsk-3-beta的216位点的活性形式的表达
Anticardiolipin Antibody and Anti-beta 2 Glycoprotein I Antibody Assays
) antibodies and anti-beta 2 glycoprotein I (β2-GPI) antibodies. Other autoantibodies, such as those directed against anionic phospholipids, can also be assayed; however they are not of clinical significance. Participation in a quality assurance
。 如果beta-catenin抗体不好使,或者EGFP太大影响定位的话,还可以构建Flag标签类载体,转染细胞,加入药物,用抗Flag抗体免疫荧光检测,荧光显微镜下观察就好了。 wangjh28 但按照事先的推测,处理了以后会下调该基因的表达 我觉得科学不能有事先的推测的结果,这样容易受思维定势的影响,而忽略了新发现 dongreyuan 我打算用SAB的β-catenin(Ab-37)Antibody,说明
技术资料暂无技术资料 索取技术资料








![CYP17A1 antibody [6E1-H9-F6]](https://img1.dxycdn.com/2023/0711/451/6106825198874858761-14.jpg!wh200)

