相关产品推荐更多 >
万千商家帮你免费找货
0 人在求购买到急需产品
- 详细信息
- 文献和实验
- 技术资料
- 免疫原:
Purified recombinant fragment of human NME1 expressed in E. Coli.
- 亚型:
IgG1
- 形态:
Liquid
- 保存条件:
Store as concentrated solution. Centrifuge briefly prior to opening vial. For short-term storage (1-2 weeks), store at 4ºC. For long-term storage, aliquot and store at -20ºC or below. Avoid multiple freeze-thaw cycles.
- 克隆性:
Monoclonal
- 标记物:
Unconjugated
- 适应物种:
Human
- 保质期:
12 months from the shipping date of the product.
- 抗原来源:
Human
- 目录编号:
GTX83325
- 级别:
Primary Antibodies
- 库存:
Available
- 供应商:
GeneTex
- 宿主:
Mouse
- 应用范围:
WB, ICC/IF, IHC-P, FACS, ELISA
- 靶点:
nm23-H1
- 抗体英文名:
nm23-H1 antibody [4B2]
- 抗体名:
nm23-H1 抗体 [4B2]
- 规格:
100 μl
WB analysis of nm23-H1(AA: 27-177)-hIgGFc transfected HEK293 cell lysate using GTX83325 nm23-H1 antibody [4B2].
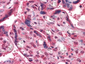
IHC-P analysis of human Placenta tissue using GTX83325 nm23-H1 antibody [4B2].
ICC/IF analysis of HeLa cells using GTX83325 nm23-H1 antibody [4B2].
Green : nm23-H1
Blue: DRAQ5 fluorescent DNA dye
Red: Actin filaments
FACS analysis of Jurkat cells using GTX83325 nm23-H1 antibody [4B2].
Green : nm23-H1
Purple : negative control
风险提示:丁香通仅作为第三方平台,为商家信息发布提供平台空间。用户咨询产品时请注意保护个人信息及财产安全,合理判断,谨慎选购商品,商家和用户对交易行为负责。对于医疗器械类产品,请先查证核实企业经营资质和医疗器械产品注册证情况。
文献和实验Kim D et al., J Clin Med 2020 (PMID:32977620)
nm23 Protein Expression by Western Blotting in Patients with Epithelial Ovarian Carcinoma
(4 ), they retain most of the same epitopes; thus any polyclonal antibody raised against one of the two isoforms or a monoclonal antibody against a conserved epitope will recognize both nm23-H1 and -H2 at the same time. Analysis by immunohistochemistry
Mini-Antibody Affinity Chromatography of Lysozyme
Multiple noncovalent forces do play a role in the binding between a protein antigen and an antibody directed against that protein. An antigen is bound by the antigen binding site of an antibody that consists of three hypervariable segments
HF,Yang L, et al.Expression of nm23-H1 in human meningioma cells. Anticancer Res .1997, 17(5A): 3569. 7 郑世曦,刘丽江,邵永胜,等.原发性肝癌转移与ras p53 基因及其蛋白表达的关系.华人消化杂志.1998,6(2):104. 8 Iwase T,Nakazawa S, Yamao K, et al. Ras gene point mutations in gallbladder
技术资料暂无技术资料 索取技术资料





![Flotillin 2 antibody [C3], C-term](https://img1.dxycdn.com/2023/0516/895/8887749495766728561-14.jpg!wh200)
![CD134 antibody [OX-40]](https://custom.dxycdn.com/trademd/upload/pic/2011/12/14/1323695845.jpg!small.t.1)


