相关产品推荐更多 >
万千商家帮你免费找货
0 人在求购买到急需产品
- 详细信息
- 文献和实验
- 技术资料
- 免疫原:
Purified recombinant fragment of human AMACR expressed in E. Coli.
- 亚型:
IgG2b
- 形态:
Liquid
- 保存条件:
Store as concentrated solution. Centrifuge briefly prior to opening vial. For short-term storage (1-2 weeks), store at 4ºC. For long-term storage, aliquot and store at -20ºC or below. Avoid multiple freeze-thaw cycles.
- 克隆性:
Monoclonal
- 标记物:
Unconjugated
- 适应物种:
Human, Mouse
- 保质期:
12 months from the shipping date of the product.
- 抗原来源:
Human
- 目录编号:
GTX83326
- 级别:
Primary Antibodies
- 库存:
Available
- 供应商:
GeneTex
- 宿主:
Mouse
- 应用范围:
WB, ICC/IF, IHC-P, ELISA
- 靶点:
AMACR
- 抗体英文名:
AMACR antibody [2A10F3]
- 抗体名:
AMACR 抗体 [2A10F3]
- 规格:
100 μl
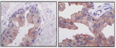
IHC-P analysis of human normal prostate tissue (left) and prostate adenocarcinoma tissue (right) using GTX83326 AMACR antibody [2A10F3].
ICC/IF analysis of LNCaP cells using GTX83326 AMACR antibody [2A10F3].
Green : AMACR
Blue: DRAQ5 fluorescent DNA dye
Red: Actin filaments
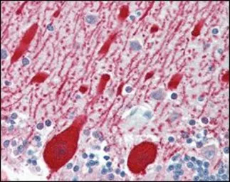
IHC-P analysis of human brain cerebellum using GTX83326 AMACR antibody [2A10F3].
WB analysis of Jurkat (1) and LNCaP (2) cell lysate using GTX83326 AMACR antibody [2A10F3].
风险提示:丁香通仅作为第三方平台,为商家信息发布提供平台空间。用户咨询产品时请注意保护个人信息及财产安全,合理判断,谨慎选购商品,商家和用户对交易行为负责。对于医疗器械类产品,请先查证核实企业经营资质和医疗器械产品注册证情况。
文献和实验Group 2a of the Coronaviridae family contains human and animal pathogens that include mouse hepatitis virus, rat coronavirus, human respiratory coronaviruses OC43 and the recently identified HKU1 strain, a newly recognized canine respiratory
ml 标准品 (Standards ) : 4000ng/瓶 2 瓶 底物工作液(TMB Solution ) 12ml 第一抗体工作液( Biotinylated Antibody ) 12ml
人8异前列腺素F2a(8-iso PGF2a)ELISA试剂盒 说明书
ml 标准品( Standards ): 4ng/ 瓶 2 瓶 底物工作液( TMB Solution ) 12ml 第一抗体工作液( Biotinylated Antibody ) 12ml 终止
技术资料暂无技术资料 索取技术资料







![RUNX3 antibody [2B3]](https://img1.dxycdn.com/2023/0711/451/6106825198874858761-14.jpg!wh200)

