相关产品推荐更多 >
万千商家帮你免费找货
0 人在求购买到急需产品
- 详细信息
- 文献和实验
- 技术资料
- 免疫原:
Purified recombinant fragment of human MDM4 expressed in E. Coli.
- 亚型:
IgG1
- 形态:
Liquid
- 保存条件:
Store as concentrated solution. Centrifuge briefly prior to opening vial. For short-term storage (1-2 weeks), store at 4ºC. For long-term storage, aliquot and store at -20ºC or below. Avoid multiple freeze-thaw cycles.
- 克隆性:
Monoclonal
- 标记物:
Unconjugated
- 适应物种:
Human
- 保质期:
12 months from the shipping date of the product.
- 抗原来源:
Human
- 目录编号:
GTX83335
- 级别:
Primary Antibodies
- 库存:
Available
- 供应商:
GeneTex
- 宿主:
Mouse
- 应用范围:
WB, ICC/IF, IHC-P, ELISA
- 靶点:
MDMX
- 抗体英文名:
MDMX antibody [2D10F4]
- 抗体名:
MDMX 抗体 [2D10F4]
- 规格:
100 μl
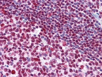
IHC-P analysis of human Tonsil tissue using GTX83335 MDMX antibody [2D10F4].
ICC/IF analysis of HeLa (left) and L-02 (right) cells using GTX83335 MDMX antibody [2D10F4].
Green : MDMX
Red: Actin filaments
WB analysis of HeLa (1), A549 (2) and A431 (3) cell lysate using GTX83335 MDMX antibody [2D10F4].
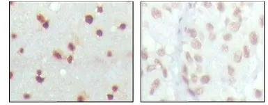
IHC-P analysis of human cerebra (left) and lung carcinoma (right) tissue using GTX83335 MDMX antibody [2D10F4].
风险提示:丁香通仅作为第三方平台,为商家信息发布提供平台空间。用户咨询产品时请注意保护个人信息及财产安全,合理判断,谨慎选购商品,商家和用户对交易行为负责。对于医疗器械类产品,请先查证核实企业经营资质和医疗器械产品注册证情况。
文献和实验Production of Bispecif ic and Trispecific F(ab)2 and F(ab)3 Antibody Derivatives
Bispecific antibodies (BsAbs) are hybrid molecules designed to combine two antibodies with different specificities. This dual specificity has led to their application in a variety of diagnostic situations that require the crosslinking
. When Biotinylating an antibody, you can test the antibody by Flow Cytometry. 6. F/P Ratio: a) Dilute an aliquot of FITC-Ig complex with buffer so that the Absorbance at 280nm (A280) is less than 2.0 b) Determine and record A280 and A492. c) Calculate
, you can determine the FITC to Protein ratio. When Biotinylating an antibody, you can test the antibody by Flow Cytometry. 6. F/P Ratio: a) Dilute an aliquot of FITC-Ig complex with buffer so that the Absorbance at 280nm (A280) is less than 2.0
技术资料暂无技术资料 索取技术资料






![GABA Receptor Epsilon antibody [N1N3]](https://img1.dxycdn.com/2023/0516/045/6925717576889828561-14.jpg!wh200)


