相关产品推荐更多 >
万千商家帮你免费找货
0 人在求购买到急需产品
- 详细信息
- 技术资料
- 免疫原:
Purified recombinant fragment of human FABP2 expressed in E. Coli.
- 亚型:
IgG1
- 形态:
Liquid
- 保存条件:
Store as concentrated solution. Centrifuge briefly prior to opening vial. For short-term storage (1-2 weeks), store at 4ºC. For long-term storage, aliquot and store at -20ºC or below. Avoid multiple freeze-thaw cycles.
- 克隆性:
Monoclonal
- 标记物:
Unconjugated
- 适应物种:
Human, Mouse
- 保质期:
12 months from the shipping date of the product.
- 抗原来源:
Human
- 目录编号:
GTX83361
- 级别:
Primary Antibodies
- 库存:
Available
- 供应商:
GeneTex
- 宿主:
Mouse
- 应用范围:
WB, ICC/IF, IHC-P, FACS, ELISA
- 靶点:
FABP2
- 抗体英文名:
FABP2 antibody [9A9B7B3]
- 抗体名:
FABP2 抗体 [9A9B7B3]
- 规格:
100 μl
FACS analysis of LOVO cells using GTX83361 FABP2 antibody [9A9B7B3].
Green : FABP2
Purple : negative control
ICC/IF analysis of 3T3-L1 cells using GTX83361 FABP2 antibody [9A9B7B3].
Green : FABP2
Blue: DRAQ5 fluorescent DNA dye
Red: Actin filaments
WB analysis of FABP2-hIgGFc transfected HEK293 (1) cell lysate and LOVO (2) cell lysate using GTX83361 FABP2 antibody [9A9B7B3].
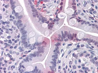
IHC-P analysis of human Small Intestine tissue using GTX83361 FABP2 antibody [9A9B7B3].
风险提示:丁香通仅作为第三方平台,为商家信息发布提供平台空间。用户咨询产品时请注意保护个人信息及财产安全,合理判断,谨慎选购商品,商家和用户对交易行为负责。对于医疗器械类产品,请先查证核实企业经营资质和医疗器械产品注册证情况。
技术资料暂无技术资料 索取技术资料





![TRADD antibody [N1], N-term](https://custom.dxycdn.com/trademd/upload/pic/2011/12/20/1324016002.jpg!small.t.1)

![LIMS1 antibody [N1C2]](https://img1.dxycdn.com/2023/0516/045/6925717576889828561-14.jpg!wh200)
![Fc epsilon R1 alpha antibody [CRA1] (Biotin)](https://img1.dxycdn.com/2023/0711/451/6106825198874858761-14.jpg!wh200)


